中国 EN 400-660-9091

联系我们

电话:025-68037686

地址:江苏生命科技创新园F6幢1层

订购:nanjing03@biogot.com

服务:biorase01@biogot.com

合作:lvyun@biogot.com

支持:may@biogot.com

SMARCA2 monoclonal antibody

货号: MB12250
价格 1350
货期 现货(1-2个工作日)
25ul 50ul 100ul 200ul
No. :MB12250
Product Name :SMARCA2 monoclonal antibody
Swiss-Prot :P51531
Host :Rabbit
Reactivity :Human
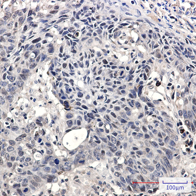
Applications :WB,IHC-F,IHC-P,ICC/IF
Application_all :WB: 1/500-1/1000 IHC: 1/50-1/100 IF: 1/50-1/200
Background :Involved in transcriptional activation and repression of select genes by chromatin remodeling (alteration of DNA-nucleosome topology).
Product :50mM Tris-Glycine(pH 7.4), 0.15M NaCl, 40% Glycerol, 0.01% Sodium azide and 0.05% BSA
Purification&Purity :Affinity Purified
Storage&Stability :Store at 4°C short term. Aliquot and store at -20°C long term. Avoid freeze-thaw cycles.
Specificity :IgG
BiowMW :Calculated MW: 181 kDa; Observed MW: 190 kDa
Note :For research use only, not for use in diagnostic procedure.
Alternative Name :SMARCA2; BAF190B; BRM; SNF2A; SNF2L2; Probable global transcription activator SNF2L2; ATP-dependent helicase SMARCA2; BRG1-associated factor 190B; BAF190B; Protein brahma homolog; hBRM; SNF2-alpha; SWI/SNF-related matrix-associated actin-dependent regulator of chromatin subfamily A member 2
Immunogen :A synthetic peptide of human SMARCA2/BRM
Conjugate :Unconjugated
Modification :Unmodified
Immunocytochemistry analysis of SMARCA2 in 293 using SMARCA2 antibody,and DAPI.
Western blot analysis of SMARCA2/BRM in A549, HL-60, U2OS lysates using SMARCA2/BRM antibody.

关注我们

400-660-9091

电话:025-68037686

地址:江苏生命科技创新园F6幢1层

订购:nanjing03@biogot.com

服务:biorase01@biogot.com

合作:lvyun@biogot.com

支持:may@biogot.com