中国 EN 400-660-9091

联系我们

电话:025-68037686

地址:江苏生命科技创新园F6幢1层

订购:nanjing03@biogot.com

服务:biorase01@biogot.com

合作:lvyun@biogot.com

支持:may@biogot.com

NDUFS1 monoclonal antibody

货号: MB12142
价格 1350
货期 现货(1-2个工作日)
25ul 50ul 100ul 200ul
No. :MB12142
Product Name :NDUFS1 monoclonal antibody
Swiss-Prot :P28331
Host :Rabbit
Reactivity :Human,Mouse,Rat
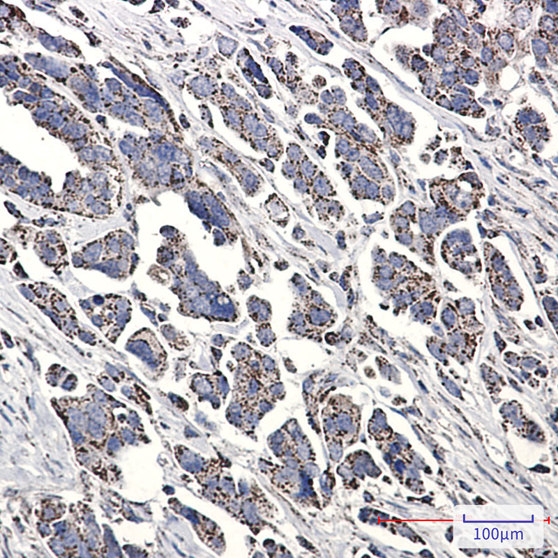
Applications :WB,IHC-F,IHC-P,ICC/IF,IP
Application_all :WB: 1/500-1/1000 IHC: 1/50-1/100 IF: 1/50-1/200 IP: 1/20
Background :Core subunit of the mitochondrial membrane respiratory chain NADH dehydrogenase (Complex I) that is believed to belong to the minimal assembly required for catalysis. Complex I functions in the transfer of electrons from NADH to the respiratory chain.
Product :50mM Tris-Glycine(pH 7.4), 0.15M NaCl, 40% Glycerol, 0.01% Sodium azide and 0.05% BSA
Purification&Purity :Affinity Purified
Storage&Stability :Store at 4°C short term. Aliquot and store at -20°C long term. Avoid freeze-thaw cycles.
Specificity :IgG
BiowMW :Calculated MW: 79 kDa; Observed MW: 79 kDa
Note :For research use only, not for use in diagnostic procedure.
Alternative Name :NDUFS1; NADH-ubiquinone oxidoreductase 75 kDa subunit; mitochondrial; Complex I-75kD; CI-75kD
Immunogen :A synthetic peptide of human Ndufs1
Conjugate :Unconjugated
Modification :Unmodified
Immunocytochemistry analysis of NDUFS1 in Hela using NDUFS1 antibody,and DAPI.
Western blot analysis of Ndufs1 in mouse heart, mouse kidney, rat skeletal muscle lysates using Ndufs1 antibody.

关注我们

400-660-9091

电话:025-68037686

地址:江苏生命科技创新园F6幢1层

订购:nanjing03@biogot.com

服务:biorase01@biogot.com

合作:lvyun@biogot.com

支持:may@biogot.com