中国 EN 400-660-9091

联系我们

电话:025-68037686

地址:江苏生命科技创新园F6幢1层

订购:nanjing03@biogot.com

服务:biorase01@biogot.com

合作:lvyun@biogot.com

支持:may@biogot.com

KIFAP3 monoclonal antibody

货号: MB12092
价格 1350
货期 现货(1-2个工作日)
25ul 50ul 100ul 200ul
No. :MB12092
Product Name :KIFAP3 monoclonal antibody
Swiss-Prot :Q92845
Host :Rabbit
Reactivity :Human,Rat
Applications :WB,IHC-P
Application_all :WB: 1/500-1/1000 IHC: 1/50-1/100
Background :Involved in tethering the chromosomes to the spindle pole and in chromosome movement. Binds to the tail domain of the KIF3A/KIF3B heterodimer to form a heterotrimeric KIF3 complex and may regulate the membrane binding of this complex.
Product :50mM Tris-Glycine(pH 7.4), 0.15M NaCl, 40% Glycerol, 0.01% Sodium azide and 0.05% BSA
Purification&Purity :Affinity Purified
Storage&Stability :Store at 4°C short term. Aliquot and store at -20°C long term. Avoid freeze-thaw cycles.
Specificity :IgG
BiowMW :Calculated MW: 91 kDa; Observed MW: 91 kDa
Note :For research use only, not for use in diagnostic procedure.
Alternative Name :KAP3; KIF3AP; Kifap3; Kinesin associated protein 3; SMAP
Immunogen :A synthetic peptide of human KIFAP3
Conjugate :Unconjugated
Modification :Unmodified
Western blot analysis of KIFAP3 in A549, HL-60, C6 lysates using KIFAP3 antibody.
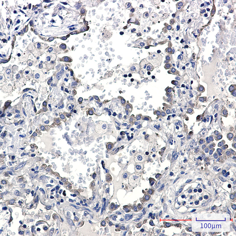
Immunohistochemistry analysis of paraffin-embedded Human lung cancer using KIFAP3 antibody.High-pressure and temperature Sodium Citrate pH 6.0 was used for antigen retrieval.

关注我们

400-660-9091

电话:025-68037686

地址:江苏生命科技创新园F6幢1层

订购:nanjing03@biogot.com

服务:biorase01@biogot.com

合作:lvyun@biogot.com

支持:may@biogot.com