中国 EN 400-660-9091

联系我们

电话:025-68037686

地址:江苏生命科技创新园F6幢1层

订购:nanjing03@biogot.com

服务:biorase01@biogot.com

合作:lvyun@biogot.com

支持:may@biogot.com

DTYMK monoclonal antibody

货号: MB12004
价格 1350
货期 现货(1-2个工作日)
25ul 50ul 100ul 200ul
No. :MB12004
Product Name :DTYMK monoclonal antibody
Swiss-Prot :P23919
Host :Rabbit
Reactivity :Human
Applications :WB,IHC-P,IP
Application_all :WB: 1/500-1/1000 IHC: 1/50-1/100 IP: 1/20
Background :DTYMK (deoxythymidylate kinase (thymidylate kinase)), also known as CDC8, TMPK, TYMK or dTMP kinase, is a 212 amino acid protein that belongs to the thymidylate kinase family and is involved in pyrimidine metabolism. Specifically, DTYMK catalyzes the ATP-dependent conversion of dTMP (deoxythymidine monophosphate) to dTDP (deoxythymidine diphosphate), which then functions as one of the four nucleotides in DNA. Via its role in the catalytic creation of dTDP, DTYMK plays an important role in the pathway of DNA synthesis and is thought to be involved in cell cycle progression and cell growth. DTYMK expression levels peak during the S phase (synthesis phase) of the cell cycle, further supporting the role of DTYMK in DNA synthesis.
Product :50mM Tris-Glycine(pH 7.4), 0.15M NaCl, 40% Glycerol, 0.01% Sodium azide and 0.05% BSA
Purification&Purity :Affinity Purified
Storage&Stability :Store at 4°C short term. Aliquot and store at -20°C long term. Avoid freeze-thaw cycles.
Specificity :IgG
BiowMW :Calculated MW: 24 kDa; Observed MW: 24 kDa
Note :For research use only, not for use in diagnostic procedure.
Alternative Name :CDC8; TMPK; TYMK; PP3731
Immunogen :A synthetic peptide of human DTYMK
Conjugate :Unconjugated
Modification :Unmodified
Western blot analysis of DTYMK in Hela, Ramos lysates using DTYMK antibody.
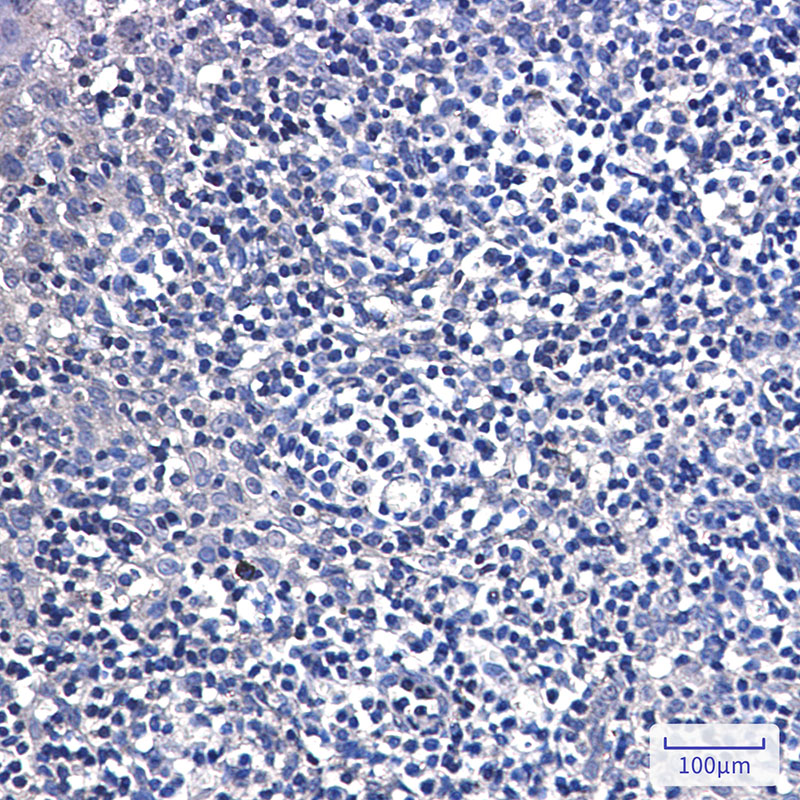
Immunohistochemistry analysis of paraffin-embedded Human tonsil using DTYMK antibody.High-pressure and temperature Sodium Citrate pH 6.0 was used for antigen retrieval.

关注我们

400-660-9091

电话:025-68037686

地址:江苏生命科技创新园F6幢1层

订购:nanjing03@biogot.com

服务:biorase01@biogot.com

合作:lvyun@biogot.com

支持:may@biogot.com