中国 EN 400-660-9091

联系我们

电话:025-68037686

地址:江苏生命科技创新园F6幢1层

订购:nanjing03@biogot.com

服务:biorase01@biogot.com

合作:lvyun@biogot.com

支持:may@biogot.com

DAB2 monoclonal antibody

货号: MB11993
价格 1350
货期 现货(1-2个工作日)
25ul 50ul 100ul 200ul
No. :MB11993
Product Name :DAB2 monoclonal antibody
Swiss-Prot :P98082
Host :Rabbit
Reactivity :Human
Applications :WB,IHC-P,IP
Application_all :WB: 1/500-1/1000 IHC: 1/50-1/100 IP: 1/20
Background :This gene encodes a mitogen-responsive phosphoprotein. It is expressed in normal ovarian epithelial cells, but is down-regulated or absent from ovarian carcinoma cell lines, suggesting its role as a tumor suppressor. This protein binds to the SH3 domains of GRB2, an adaptor protein that couples tyrosine kinase receptors to SOS (a guanine nucleotide exchange factor for Ras), via its C-terminal proline-rich sequences, and may thus modulate growth factor/Ras pathways by competing with SOS for binding to GRB2. Alternatively spliced transcript variants encoding different isoforms have been found for this gene.
Product :50mM Tris-Glycine(pH 7.4), 0.15M NaCl, 40% Glycerol, 0.01% Sodium azide and 0.05% BSA
Purification&Purity :Affinity Purified
Storage&Stability :Store at 4°C short term. Aliquot and store at -20°C long term. Avoid freeze-thaw cycles.
Specificity :IgG
BiowMW :Calculated MW: 82 kDa; Observed MW: 96 kDa
Note :For research use only, not for use in diagnostic procedure.
Alternative Name :DOC2; DOC-2
Immunogen :A synthetic peptide of human DAB2
Conjugate :Unconjugated
Modification :Unmodified
Western blot analysis of DAB2 in HepG2, U2OS, U251 lysates using DAB2 antibody.
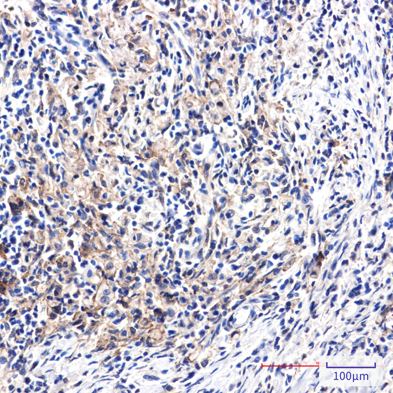
Immunohistochemistry analysis of paraffin-embedded Human lung cancer using DAB2 antibody.High-pressure and temperature Sodium Citrate pH 6.0 was used for antigen retrieval.

关注我们

400-660-9091

电话:025-68037686

地址:江苏生命科技创新园F6幢1层

订购:nanjing03@biogot.com

服务:biorase01@biogot.com

合作:lvyun@biogot.com

支持:may@biogot.com