中国 EN 400-660-9091

联系我们

电话:025-68037686

地址:江苏生命科技创新园F6幢1层

订购:nanjing03@biogot.com

服务:biorase01@biogot.com

合作:lvyun@biogot.com

支持:may@biogot.com

Cytochrome P450 2D6 monoclonal antibody

货号: MB11989
价格 1350
货期 现货(1-2个工作日)
25ul 50ul 100ul 200ul
No. :MB11989
Product Name :Cytochrome P450 2D6 monoclonal antibody
Swiss-Prot :P10635
Host :Rabbit
Reactivity :Human
Applications :WB,IHC-F,IHC-P,ICC/IF
Application_all :WB: 1/500-1/1000 IHC: 1/50-1/100 IF: 1/50-1/200
Background :Cytochrome P450 2D6 is a member of the cytochrome P450 superfamily of enzymes. The cytochrome P450 proteins are monooxygenases which catalyze many reactions involved in drug metabolism and synthesis of cholesterol, steroids and other lipids.
Product :50mM Tris-Glycine(pH 7.4), 0.15M NaCl, 40% Glycerol, 0.01% Sodium azide and 0.05% BSA
Purification&Purity :Affinity Purified
Storage&Stability :Store at 4°C short term. Aliquot and store at -20°C long term. Avoid freeze-thaw cycles.
Specificity :IgG
BiowMW :Calculated MW: 56 kDa; Observed MW: 50 kDa
Note :For research use only, not for use in diagnostic procedure.
Alternative Name :CYP2D6; CYP2DL1; Cytochrome P450 2D6; CYPIID6; Cytochrome P450-DB1; Debrisoquine 4-hydroxylase
Immunogen :Recombinant protein of human CYP2D6
Conjugate :Unconjugated
Modification :Unmodified
Western blot analysis of CYP2D6 in Hela, A549, HL-60, U251, U87-MG lysates using Cytochrome P450 2D6 antibody.
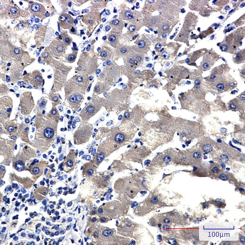
Immunohistochemistry analysis of paraffin-embedded liver cancer using CYP2D6 antibody.High-pressure and temperature Sodium Citrate pH 6.0 was used for antigen retrieval.

关注我们

400-660-9091

电话:025-68037686

地址:江苏生命科技创新园F6幢1层

订购:nanjing03@biogot.com

服务:biorase01@biogot.com

合作:lvyun@biogot.com

支持:may@biogot.com