中国 EN 400-660-9091

联系我们

电话:025-68037686

地址:江苏生命科技创新园F6幢1层

订购:nanjing03@biogot.com

服务:biorase01@biogot.com

合作:lvyun@biogot.com

支持:may@biogot.com

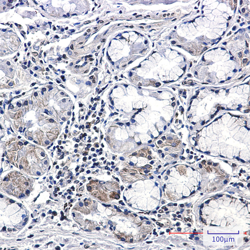
CSDE1 monoclonal antibody

货号: MB11980
价格 1350
货期 现货(1-2个工作日)
25ul 50ul 100ul 200ul
No. :MB11980
Product Name :CSDE1 monoclonal antibody
Swiss-Prot :O75534
Host :Rabbit
Reactivity :Human
Applications :WB,IHC-F,IHC-P,ICC/IF,IP
Application_all :WB: 1/500-1/1000 IHC: 1/50-1/100 IF: 1/50-1/200 IP: 1/20
Background :RNA-binding protein involved in translationally coupled mRNA turnover.
Product :50mM Tris-Glycine(pH 7.4), 0.15M NaCl, 40% Glycerol, 0.01% Sodium azide and 0.05% BSA
Purification&Purity :Affinity Purified
Storage&Stability :Store at 4°C short term. Aliquot and store at -20°C long term. Avoid freeze-thaw cycles.
Specificity :IgG
BiowMW :Calculated MW: 89 kDa; Observed MW: 89 kDa
Note :For research use only, not for use in diagnostic procedure.
Alternative Name :UNR; D1S155E
Immunogen :A synthetic peptide of human CSDE1/NRU
Conjugate :Unconjugated
Modification :Unmodified
Immunocytochemistry analysis of CSDE1 in Hela using CSDE1 antibody,and DAPI.
Western blot analysis of CSDE1/NRU in A549, HL-60, U2OS lysates using CSDE1/NRU antibody.

关注我们

400-660-9091

电话:025-68037686

地址:江苏生命科技创新园F6幢1层

订购:nanjing03@biogot.com

服务:biorase01@biogot.com

合作:lvyun@biogot.com

支持:may@biogot.com