中国 EN 400-660-9091

联系我们

电话:025-68037686

地址:江苏生命科技创新园F6幢1层

订购:nanjing03@biogot.com

服务:biorase01@biogot.com

合作:lvyun@biogot.com

支持:may@biogot.com

Caspase 6 monoclonal antibody

货号: MB11949
价格 1350
货期 现货(1-2个工作日)
25ul 50ul 100ul 200ul
No. :MB11949
Product Name :Caspase 6 monoclonal antibody
Swiss-Prot :P55212
Host :Rabbit
Reactivity :Human
Applications :WB,IHC-P
Application_all :WB: 1/500-1/1000 IHC: 1/50-1/100
Background :Caspase-6 (Mch2) is one of the major executioner caspases functioning in cellular apoptotic processes. Upon apoptotic stimulation, initiator caspases such as caspase-9 are cleaved and activated. The activated upstream caspases further process downstream executioner caspases, such as caspase-3 and caspase-6, by cleaving them into large and small subunits, thereby initiating a caspase cascade leading to apoptosis. One of the major targets for caspase-6 is the membrane associated protein lamin A.
Product :50mM Tris-Glycine(pH 7.4), 0.15M NaCl, 40% Glycerol, 0.01% Sodium azide and 0.05% BSA
Purification&Purity :Affinity Purified
Storage&Stability :Store at 4°C short term. Aliquot and store at -20°C long term. Avoid freeze-thaw cycles.
Specificity :IgG
BiowMW :Calculated MW: 33 kDa; Observed MW: 11,33 kDa
Note :For research use only, not for use in diagnostic procedure.
Alternative Name :CASP6; MCH2; Caspase-6; CASP-6; Apoptotic protease Mch-2
Immunogen :A synthetic peptide of human Caspase-6
Conjugate :Unconjugated
Modification :Unmodified
Western blot analysis of Caspase6 in A549, MCF-7, U251, HL-60 lysates using Caspase 6 antibody.
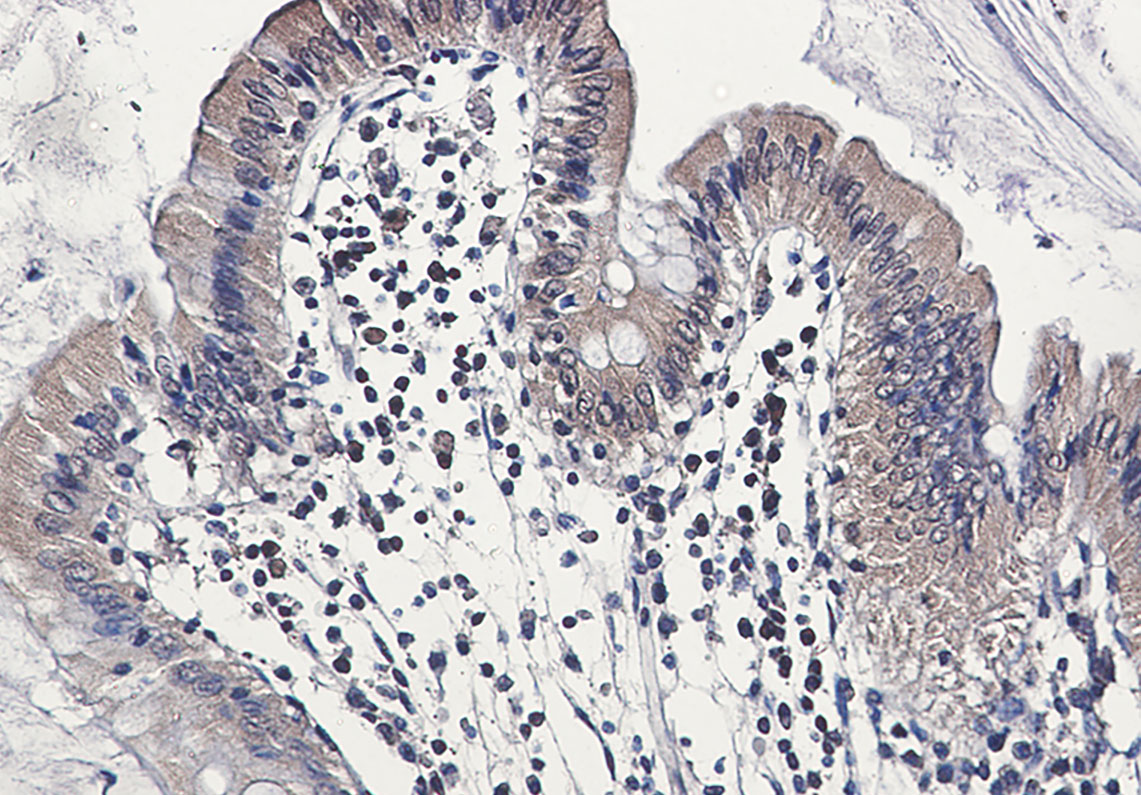
Immunohistochemistry analysis of paraffin-embedded Human colon cancer using Caspase6 antibody.High-pressure and temperature Sodium Citrate pH 6.0 was used for antigen retrieval.

关注我们

400-660-9091

电话:025-68037686

地址:江苏生命科技创新园F6幢1层

订购:nanjing03@biogot.com

服务:biorase01@biogot.com

合作:lvyun@biogot.com

支持:may@biogot.com