中国 EN 400-660-9091

联系我们

电话:025-68037686

地址:江苏生命科技创新园F6幢1层

订购:nanjing03@biogot.com

服务:biorase01@biogot.com

合作:lvyun@biogot.com

支持:may@biogot.com

Bcr monoclonal antibody

货号: MB11934
价格 1350
货期 现货(1-2个工作日)
25ul 50ul 100ul 200ul
No. :MB11934
Product Name :Bcr monoclonal antibody
Swiss-Prot :P11274
Host :Rabbit
Reactivity :Human,Rat
Applications :WB,IHC-P,IP
Application_all :WB: 1/500-1/1000 IHC: 1/50-1/100 IP: 1/20
Background :A reciprocal translocation between chromosomes 22 and 9 produces the Philadelphia chromosome, which is often found in patients with chronic myelogenous leukemia. The chromosome 22 breakpoint for this translocation is located within the BCR gene. The translocation produces a fusion protein which is encoded by sequence from both BCR and ABL, the gene at the chromosome 9 breakpoint. Although the BCR-ABL fusion protein has been extensively studied, the function of the normal BCR gene product is not clear. The unregulated tyrosine kinase activity of BCR-ABL1 contributes to the immortality of leukaemic cells. The BCR protein has serine/threonine kinase activity and is a GTPase-activating protein for p21rac and other kinases. Two transcript variants encoding different isoforms have been found for this gene.[provided by RefSeq, Jan 2020]
Product :50mM Tris-Glycine(pH 7.4), 0.15M NaCl, 40% Glycerol, 0.01% Sodium azide and 0.05% BSA
Purification&Purity :Affinity Purified
Storage&Stability :Store at 4°C short term. Aliquot and store at -20°C long term. Avoid freeze-thaw cycles.
Specificity :IgG
BiowMW :Calculated MW: 143 kDa; Observed MW: 160 kDa
Note :For research use only, not for use in diagnostic procedure.
Alternative Name :ALL; CML; PHL; BCR1; D22S11; D22S662
Immunogen :A synthetic peptide of human Bcr
Conjugate :Unconjugated
Modification :Unmodified
Western blot analysis of Bcr in A549, HL-60, U2OS, C6 lysates using Bcr antibody.
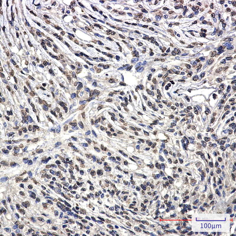
Immunohistochemistry analysis of paraffin-embedded Human Brain using Bcr antibody.High-pressure and temperature Sodium Citrate pH 6.0 was used for antigen retrieval.

关注我们

400-660-9091

电话:025-68037686

地址:江苏生命科技创新园F6幢1层

订购:nanjing03@biogot.com

服务:biorase01@biogot.com

合作:lvyun@biogot.com

支持:may@biogot.com