中国 EN 400-660-9091

联系我们

电话:025-68037686

地址:江苏生命科技创新园F6幢1层

订购:nanjing03@biogot.com

服务:biorase01@biogot.com

合作:lvyun@biogot.com

支持:may@biogot.com

Phospho-Rb (Ser780) monoclonal antibody

货号: MB11890
价格 1350
货期 现货(1-2个工作日)
25ul 50ul 100ul 200ul
No. :MB11890
Product Name :Phospho-Rb (Ser780) monoclonal antibody
Swiss-Prot :P06400
Host :Rabbit
Reactivity :Human,Rat
Applications :WB,IHC-P
Application_all :WB: 1/500-1/1000 IHC: 1/50-1/100
Background :Cell cycle-dependent phosphorylation by a CDK inhibits Rb target binding and allows cell cycle progression. Rb inactivation and subsequent cell cycle progression likely requires an initial phosphorylation by cyclin D-CDK4/6 followed by cyclin E-CDK2 phosphorylation. Specificity of different CDK/cyclin complexes has been observed in vitro and cyclin D1 is required for Ser780 phosphorylation in vivo.
Product :50mM Tris-Glycine(pH 7.4), 0.15M NaCl, 40% Glycerol, 0.01% Sodium azide and 0.05% BSA
Purification&Purity :Affinity Purified
Storage&Stability :Store at 4°C short term. Aliquot and store at -20°C long term. Avoid freeze-thaw cycles.
Specificity :IgG
BiowMW :Calculated MW: 106 kDa; Observed MW: 110 kDa
Note :For research use only, not for use in diagnostic procedure.
Alternative Name :RB1; Retinoblastoma-associated protein; p105-Rb; pRb; Rb; pp110
Immunogen :A synthetic phosphopeptide corresponding to residues surrounding Ser780 of human Rb
Conjugate :Unconjugated
Modification :Phosphorylated
Western blot analysis of Rb in Hela, A549, HL-60, U2OS, C6 lysates using Phospho-Rb antibody.
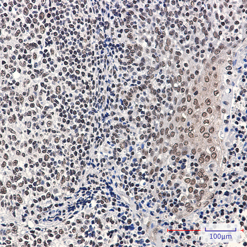
Immunohistochemistry analysis of paraffin-embedded Human tonsil using Rb antibody.High-pressure and temperature Sodium Citrate pH 6.0 was used for antigen retrieval.

关注我们

400-660-9091

电话:025-68037686

地址:江苏生命科技创新园F6幢1层

订购:nanjing03@biogot.com

服务:biorase01@biogot.com

合作:lvyun@biogot.com

支持:may@biogot.com