中国 EN 400-660-9091

联系我们

电话:025-68037686

地址:江苏生命科技创新园F6幢1层

订购:nanjing03@biogot.com

服务:biorase01@biogot.com

合作:lvyun@biogot.com

支持:may@biogot.com

Phospho-ErbB 4 (Tyr1162) monoclonal antibody

货号: MB11860
价格 1350
货期 现货(1-2个工作日)
25ul 50ul 100ul 200ul
No. :MB11860
Product Name :Phospho-ErbB 4 (Tyr1162) monoclonal antibody
Swiss-Prot :Q15303
Host :Rabbit
Reactivity :Human
Applications :WB,IHC-P,IP
Application_all :WB: 1/500-1/1000 IHC: 1/50-1/100 IP: 1/20
Background :The HER4/ERBB4 gene is a member of the type I receptor tyrosine kinase subfamily that includes EGFR (MIM 131550), ERBB2 (MIM 164870), and ERBB3 (MIM 190151). It encodes a receptor for NDF/heregulin (MIM 142445).
Product :50mM Tris-Glycine(pH 7.4), 0.15M NaCl, 40% Glycerol, 0.01% Sodium azide and 0.05% BSA
Purification&Purity :Affinity Purified
Storage&Stability :Store at 4°C short term. Aliquot and store at -20°C long term. Avoid freeze-thaw cycles.
Specificity :IgG
BiowMW :Calculated MW: 147 kDa; Observed MW: 180 kDa
Note :For research use only, not for use in diagnostic procedure.
Alternative Name :ERBB4; HER4; Receptor tyrosine-protein kinase erbB-4; Proto-oncogene-like protein c-ErbB-4; Tyrosine kinase-type cell surface receptor HER4; p180erbB4
Immunogen :A synthetic phosphopeptide corresponding to residues surrounding Tyr1162 of human ErbB 4
Conjugate :Unconjugated
Modification :Phosphorylated
Western blot analysis of Phospho-ErbB 4 in Hela, A549 lysates using Phospho-ErbB 4 antibody.
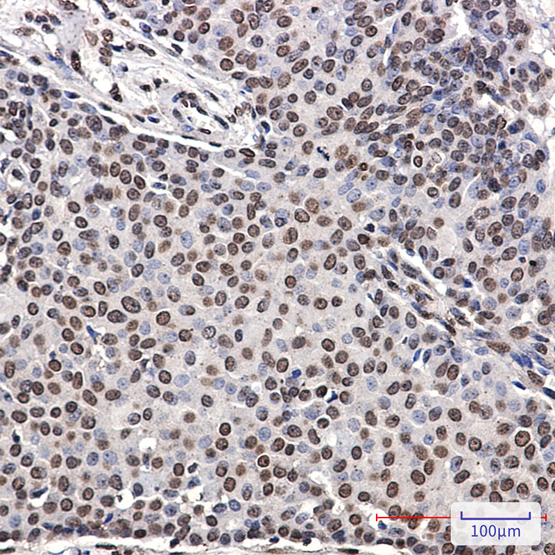
Immunohistochemistry analysis of paraffin-embedded Human breast cancer using ErbB 4 antibody.High-pressure and temperature Sodium Citrate pH 6.0 was used for antigen retrieval.

关注我们

400-660-9091

电话:025-68037686

地址:江苏生命科技创新园F6幢1层

订购:nanjing03@biogot.com

服务:biorase01@biogot.com

合作:lvyun@biogot.com

支持:may@biogot.com