中国 EN 400-660-9091

联系我们

电话:025-68037686

地址:江苏生命科技创新园F6幢1层

订购:nanjing03@biogot.com

服务:biorase01@biogot.com

合作:lvyun@biogot.com

支持:may@biogot.com

NDUFB1 monoclonal antibody

货号: MB11821
价格 1350
货期 现货(1-2个工作日)
25ul 50ul 100ul 200ul
No. :MB11821
Product Name :NDUFB1 monoclonal antibody
Swiss-Prot :O75438
Host :Rabbit
Reactivity :Human
Applications :WB,IHC-P
Application_all :WB: 1/500-1/1000 IHC: 1/50-1/100
Background :Accessory subunit of the mitochondrial membrane respiratory chain NADH dehydrogenase (Complex I) that is believed not to be involved in catalysis.
Product :50mM Tris-Glycine(pH 7.4), 0.15M NaCl, 40% Glycerol, 0.01% Sodium azide and 0.05% BSA
Purification&Purity :Affinity Purified
Storage&Stability :Store at 4°C short term. Aliquot and store at -20°C long term. Avoid freeze-thaw cycles.
Specificity :IgG
BiowMW :Calculated MW: 7 kDa; Observed MW: 7 kDa
Note :For research use only, not for use in diagnostic procedure.
Alternative Name :MNLL; CI-MNLL; CI-SGDH
Immunogen :Recombinant protein of human NDUFB1
Conjugate :Unconjugated
Modification :Unmodified
Western blot analysis of NDUFB1 in A549, HL-60, U2OS lysates using NDUFB1 antibody.
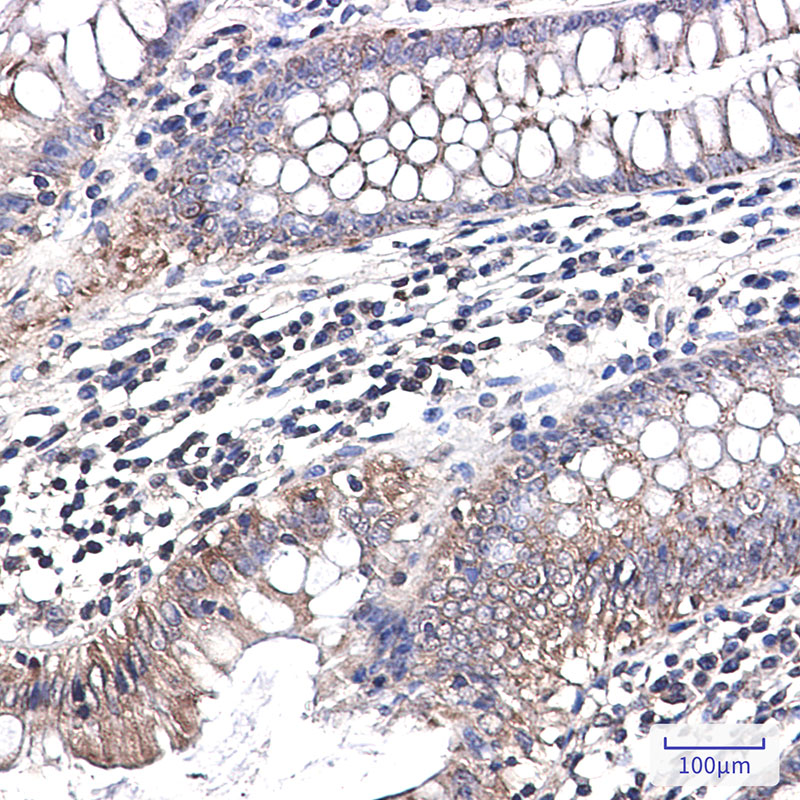
Immunohistochemistry analysis of paraffin-embedded Human colon cancer using NDUFB1 antibody.High-pressure and temperature Sodium Citrate pH 6.0 was used for antigen retrieval.

关注我们

400-660-9091

电话:025-68037686

地址:江苏生命科技创新园F6幢1层

订购:nanjing03@biogot.com

服务:biorase01@biogot.com

合作:lvyun@biogot.com

支持:may@biogot.com