中国 EN 400-660-9091

联系我们

电话:025-68037686

地址:江苏生命科技创新园F6幢1层

订购:nanjing03@biogot.com

服务:biorase01@biogot.com

合作:lvyun@biogot.com

支持:may@biogot.com

VEGF Receptor 1 monoclonal antibody

货号: MB11763
价格 1350
货期 现货(1-2个工作日)
25ul 50ul 100ul 200ul
No. :MB11763
Product Name :VEGF Receptor 1 monoclonal antibody
Swiss-Prot :P17948
Host :Rabbit
Reactivity :Human,Mouse,Rat
Applications :WB,IHC-P,IP
Application_all :WB: 1/500-1/1000 IHC: 1/50-1/100 IP: 1/20
Background :Tyrosine-protein kinase that acts as a cell-surface receptor for VEGFA, VEGFB and PGF, and plays an essential role in the development of embryonic vasculature, the regulation of angiogenesis, cell survival, cell migration, macrophage function, chemotaxis, and cancer cell invasion. May play an essential role as a negative regulator of embryonic angiogenesis by inhibiting excessive proliferation of endothelial cells.
Product :50mM Tris-Glycine(pH 7.4), 0.15M NaCl, 40% Glycerol, 0.01% Sodium azide and 0.05% BSA
Purification&Purity :Affinity Purified
Storage&Stability :Store at 4°C short term. Aliquot and store at -20°C long term. Avoid freeze-thaw cycles.
Specificity :IgG
BiowMW :Calculated MW: 151 kDa; Observed MW: 180 kDa
Note :For research use only, not for use in diagnostic procedure.
Alternative Name :VEGFR-1; VEGF Receptor 1; FLT-1; FLT; FRT; VEGFR1; Fms-like tyrosine kinase 1; Tyrosine-protein kinase FRT
Immunogen :A synthetic peptide of human VEGF Receptor 1
Conjugate :Unconjugated
Modification :Unmodified
Western blot analysis of VEGF Receptor 1 in K562, C6, 3T3, Hela lysates using VEGF Receptor 1 antibody.
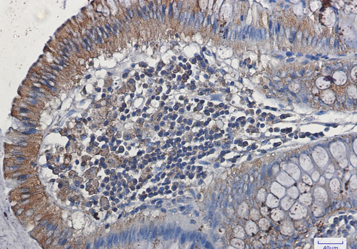
Immunohistochemistry analysis of paraffin-embedded Human colon cancer using VEGF Receptor 1 antibody.High-pressure and temperature Sodium Citrate pH 6.0 was used for antigen retrieval.

关注我们

400-660-9091

电话:025-68037686

地址:江苏生命科技创新园F6幢1层

订购:nanjing03@biogot.com

服务:biorase01@biogot.com

合作:lvyun@biogot.com

支持:may@biogot.com