中国 EN 400-660-9091

联系我们

电话:025-68037686

地址:江苏生命科技创新园F6幢1层

订购:nanjing03@biogot.com

服务:biorase01@biogot.com

合作:lvyun@biogot.com

支持:may@biogot.com

TOMM20 monoclonal antibody

货号: MB11706
价格 1350
货期 现货(1-2个工作日)
25ul 50ul 100ul 200ul
No. :MB11706
Product Name :TOMM20 monoclonal antibody
Swiss-Prot :Q15388
Host :Rabbit
Reactivity :Human,Hamster
Applications :WB,IHC-F,IHC-P,ICC/IF
Application_all :WB: 1/500-1/1000 IHC: 1/50-1/100 IF: 1/50-1/200
Background :Central component of the receptor complex responsible for the recognition and translocation of cytosolically synthesized mitochondrial preproteins. Together with TOM22 functions as the transit peptide receptor at the surface of the mitochondrion outer membrane and facilitates the movement of preproteins into the TOM40 translocation pore.
Product :50mM Tris-Glycine(pH 7.4), 0.15M NaCl, 40% Glycerol, 0.01% Sodium azide and 0.05% BSA
Purification&Purity :Affinity Purified
Storage&Stability :Store at 4°C short term. Aliquot and store at -20°C long term. Avoid freeze-thaw cycles.
Specificity :IgG
BiowMW :Calculated MW: 16 kDa; Observed MW: 16 kDa
Note :For research use only, not for use in diagnostic procedure.
Alternative Name :TOMM20; KIAA0016; Mitochondrial import receptor subunit TOM20 homolog; Mitochondrial 20 kDa outer membrane protein; Outer mitochondrial membrane receptor Tom20
Immunogen :Recombinant protein of human TOMM20
Conjugate :Unconjugated
Modification :Unmodified
Western blot analysis of TOMM20 in Hela, CHO-K1 lysates using TOMM20 antibody.
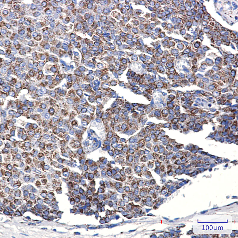
Immunohistochemistry analysis of paraffin-embedded Human breast cancer using TOMM20 antibody.High-pressure and temperature Sodium Citrate pH 6.0 was used for antigen retrieval.

关注我们

400-660-9091

电话:025-68037686

地址:江苏生命科技创新园F6幢1层

订购:nanjing03@biogot.com

服务:biorase01@biogot.com

合作:lvyun@biogot.com

支持:may@biogot.com