中国 EN 400-660-9091

联系我们

电话:025-68037686

地址:江苏生命科技创新园F6幢1层

订购:nanjing03@biogot.com

服务:biorase01@biogot.com

合作:lvyun@biogot.com

支持:may@biogot.com

SMAC monoclonal antibody

货号: MB11607
价格 1350
货期 现货(1-2个工作日)
25ul 50ul 100ul 200ul
No. :MB11607
Product Name :SMAC monoclonal antibody
Swiss-Prot :Q9NR28
Host :Rabbit
Reactivity :Human,Mouse,Rat
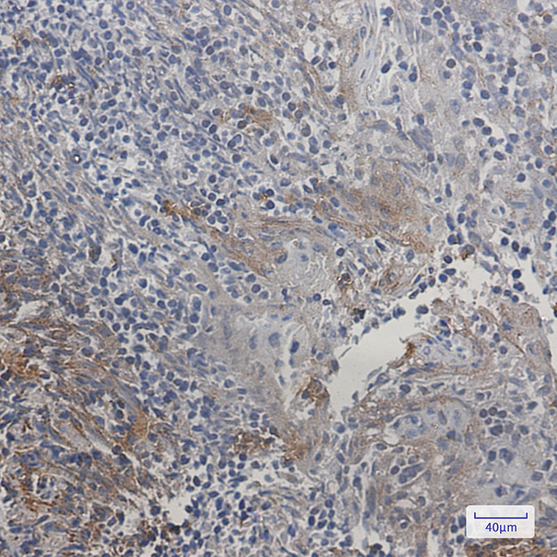
Applications :WB,IHC-F,IHC-P,ICC/IF,IP
Application_all :WB: 1/500-1/1000 IHC: 1/50-1/100 IF: 1/50-1/200 IP: 1/20
Background :Smac/Diablo is a 21 kDa mammalian mitochondrial protein that functions as a regulatory component during apoptosis. Upon mitochondrial stress, Smac/Diablo is released from mitochondria and competes with caspases for binding of IAPs (inhibitor of apoptosis proteins). The interaction of Smac/Diablo with IAPs relieves the inhibitory effect of the IAPs on caspases.
Product :50mM Tris-Glycine(pH 7.4), 0.15M NaCl, 40% Glycerol, 0.01% Sodium azide and 0.05% BSA
Purification&Purity :Affinity Purified
Storage&Stability :Store at 4°C short term. Aliquot and store at -20°C long term. Avoid freeze-thaw cycles.
Specificity :IgG
BiowMW :Calculated MW: 27 kDa; Observed MW: 21 kDa
Note :For research use only, not for use in diagnostic procedure.
Alternative Name :SMAC; DFNA64; DIABLO; SMAC3
Immunogen :A synthetic peptide of human Smac/Diablo
Conjugate :Unconjugated
Modification :Unmodified
Western blot analysis of Smac/Diablo in mouse heart, rat skin lysates using SMAC antibody.
Western blot analysis of Smac/Diablo in K562, Hela lysates using Smac/Diablo antibody.

关注我们

400-660-9091

电话:025-68037686

地址:江苏生命科技创新园F6幢1层

订购:nanjing03@biogot.com

服务:biorase01@biogot.com

合作:lvyun@biogot.com

支持:may@biogot.com