中国 EN 400-660-9091

联系我们

电话:025-68037686

地址:江苏生命科技创新园F6幢1层

订购:nanjing03@biogot.com

服务:biorase01@biogot.com

合作:lvyun@biogot.com

支持:may@biogot.com

PAK2 monoclonal antibody

货号: MB11370
价格 1350
货期 现货(1-2个工作日)
25ul 50ul 100ul 200ul
No. :MB11370
Product Name :PAK2 monoclonal antibody
Swiss-Prot :Q13177
Host :Rabbit
Reactivity :Human,Mouse,Rat
Applications :WB,IHC-P
Application_all :WB: 1/500-1/1000 IHC: 1/50-1/100
Background :The activated kinase acts on a variety of targets. Phosphorylates ribosomal protein S6, histone H4 and myelin basic protein. Full length PAK 2 stimulates cell survival and cell growth. The process is, at least in part, mediated by phosphorylation and inhibition of pro-apoptotic BAD.
Product :50mM Tris-Glycine(pH 7.4), 0.15M NaCl, 40% Glycerol, 0.01% Sodium azide and 0.05% BSA
Purification&Purity :Affinity Purified
Storage&Stability :Store at 4°C short term. Aliquot and store at -20°C long term. Avoid freeze-thaw cycles.
Specificity :IgG
BiowMW :Calculated MW: 58 kDa; Observed MW: 58 kDa
Note :For research use only, not for use in diagnostic procedure.
Alternative Name :PAK2; Serine/threonine-protein kinase PAK 2; Gamma-PAK; PAK65; S6/H4 kinase; p21-activated kinase 2; PAK-2; p58
Immunogen :A synthetic peptide of human PAK2
Conjugate :Unconjugated
Modification :Unmodified
Western blot analysis of PAK2 in K562, rat Brain, C6, 3T3, Hela lysates using PAK2 antibody.
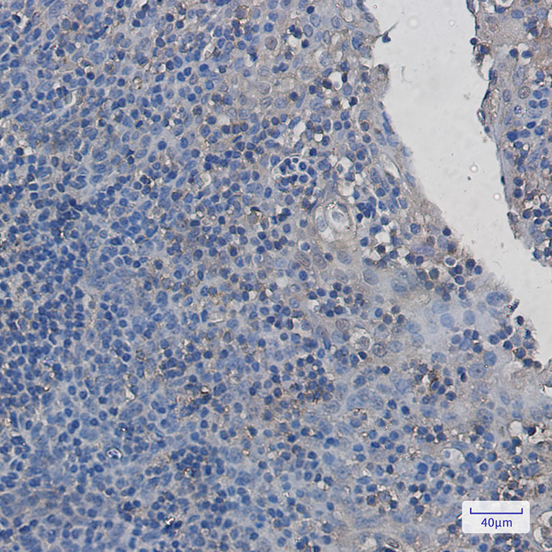
Immunohistochemistry analysis of paraffin-embedded Human tonsil using PAK2 antibody.High-pressure and temperature Sodium Citrate pH 6.0 was used for antigen retrieval.

关注我们

400-660-9091

电话:025-68037686

地址:江苏生命科技创新园F6幢1层

订购:nanjing03@biogot.com

服务:biorase01@biogot.com

合作:lvyun@biogot.com

支持:may@biogot.com