中国 EN 400-660-9091

联系我们

电话:025-68037686

地址:江苏生命科技创新园F6幢1层

订购:nanjing03@biogot.com

服务:biorase01@biogot.com

合作:lvyun@biogot.com

支持:may@biogot.com

p27 Kip 1 monoclonal antibody

货号: MB11351
价格 1350
货期 现货(1-2个工作日)
25ul 50ul 100ul 200ul
No. :MB11351
Product Name :p27 Kip 1 monoclonal antibody
Swiss-Prot :P46527
Host :Rabbit
Reactivity :Human,Mouse,Rat
Applications :WB,IHC-P,IP
Application_all :WB: 1/500-1/1000 IHC: 1/50-1/100 IP: 1/20
Background :The encoded protein binds to and prevents the activation of cyclin E-CDK2 or cyclin D-CDK4 complexes, and thus controls the cell cycle progression at G1. The degradation of this protein, which is triggered by its CDK dependent phosphorylation and subsequent ubiquitination by SCF complexes, is required for the cellular transition from quiescence to the proliferative state.
Product :50mM Tris-Glycine(pH 7.4), 0.15M NaCl, 40% Glycerol, 0.01% Sodium azide and 0.05% BSA
Purification&Purity :Affinity Purified
Storage&Stability :Store at 4°C short term. Aliquot and store at -20°C long term. Avoid freeze-thaw cycles.
Specificity :IgG
BiowMW :Calculated MW: 22 kDa; Observed MW: 27 kDa
Note :For research use only, not for use in diagnostic procedure.
Alternative Name :CDKN1B; KIP1; Cyclin-dependent kinase inhibitor 1B; Cyclin-dependent kinase inhibitor p27; p27Kip1
Immunogen :A synthetic peptide of human p27 KIP 1
Conjugate :Unconjugated
Modification :Unmodified
Western blot analysis of p27 KIP 1 in 3T3, Hela lysates using p27 Kip 1 antibody.
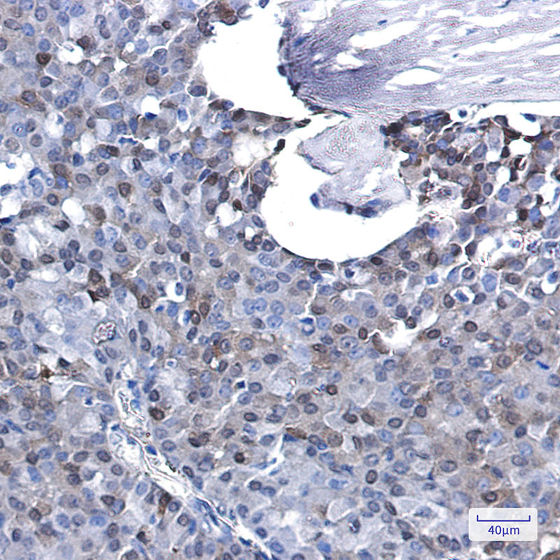
Immunohistochemistry analysis of paraffin-embedded Human breast cancer using p27 KIP 1 antibody.High-pressure and temperature Sodium Citrate pH 6.0 was used for antigen retrieval.

关注我们

400-660-9091

电话:025-68037686

地址:江苏生命科技创新园F6幢1层

订购:nanjing03@biogot.com

服务:biorase01@biogot.com

合作:lvyun@biogot.com

支持:may@biogot.com