中国 EN 400-660-9091

联系我们

电话:025-68037686

地址:江苏生命科技创新园F6幢1层

订购:nanjing03@biogot.com

服务:biorase01@biogot.com

合作:lvyun@biogot.com

支持:may@biogot.com

MMP3 monoclonal antibody

货号: MB11228
价格 1350
货期 现货(1-2个工作日)
25ul 50ul 100ul 200ul
No. :MB11228
Product Name :MMP3 monoclonal antibody
Swiss-Prot :P08254
Host :Rabbit
Reactivity :Human,Mouse,Rat
Applications :WB,IHC-P
Application_all :WB: 1/500-1/1000 IHC: 1/50-1/100
Background :MMP3 Can degrade fibronectin, laminin, gelatins of type I, III, IV, and V; collagens III, IV, X, and IX, and cartilage proteoglycans. Activates procollagenase. Belongs to the peptidase M10A family.
Product :50mM Tris-Glycine(pH 7.4), 0.15M NaCl, 40% Glycerol, 0.01% Sodium azide and 0.05% BSA
Purification&Purity :Affinity Purified
Storage&Stability :Store at 4°C short term. Aliquot and store at -20°C long term. Avoid freeze-thaw cycles.
Specificity :IgG
BiowMW :Calculated MW: 54 kDa; Observed MW: 54 kDa
Note :For research use only, not for use in diagnostic procedure.
Alternative Name :MMP3; STMY1; Stromelysin-1; SL-1; Matrix metalloproteinase-3; MMP-3; Transin-1
Immunogen :A synthetic peptide of human MMP3
Conjugate :Unconjugated
Modification :Unmodified
Western blot analysis of MMP3 in rat Brain, C6, 3T3 lysates using MMP3 antibody.
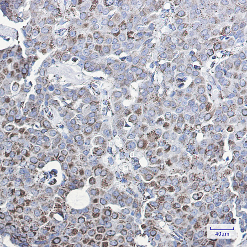
Immunohistochemistry analysis of paraffin-embedded Human breast cancer using MMP3 antibody.High-pressure and temperature Sodium Citrate pH 6.0 was used for antigen retrieval.

关注我们

400-660-9091

电话:025-68037686

地址:江苏生命科技创新园F6幢1层

订购:nanjing03@biogot.com

服务:biorase01@biogot.com

合作:lvyun@biogot.com

支持:may@biogot.com