中国 EN 400-660-9091

联系我们

电话:025-68037686

地址:江苏生命科技创新园F6幢1层

订购:nanjing03@biogot.com

服务:biorase01@biogot.com

合作:lvyun@biogot.com

支持:may@biogot.com

Metabotropic Glutamate Receptor 2 monoclonal antibody

货号: MB11210
价格 1350
货期 现货(1-2个工作日)
25ul 50ul 100ul 200ul
No. :MB11210
Product Name :Metabotropic Glutamate Receptor 2 monoclonal antibody
Swiss-Prot :Q14416
Host :Rabbit
Reactivity :Human,Mouse
Applications :WB,IHC-P
Application_all :WB: 1/500-1/1000 IHC: 1/50-1/100
Background :G-protein coupled receptor for glutamate. Ligand binding causes a conformation change that triggers signaling via guanine nucleotide-binding proteins (G proteins) and modulates the activity of down-stream effectors, such as adenylate cyclase. Signaling inhibits adenylate cyclase activity. May mediate suppression of neurotransmission or may be involved in synaptogenesis or synaptic stabilization.
Product :50mM Tris-Glycine(pH 7.4), 0.15M NaCl, 40% Glycerol, 0.01% Sodium azide and 0.05% BSA
Purification&Purity :Affinity Purified
Storage&Stability :Store at 4°C short term. Aliquot and store at -20°C long term. Avoid freeze-thaw cycles.
Specificity :IgG
BiowMW :Calculated MW: 96 kDa; Observed MW: 99 kDa
Note :For research use only, not for use in diagnostic procedure.
Alternative Name :GRM2; GPRC1B; MGLUR2; Metabotropic glutamate receptor 2; mGluR2; GRM3; GPRC1C; MGLUR3; Metabotropic glutamate receptor 3; mGluR3
Immunogen :A synthetic peptide of human Metabotropic Glutamate Receptor 2
Conjugate :Unconjugated
Modification :Unmodified
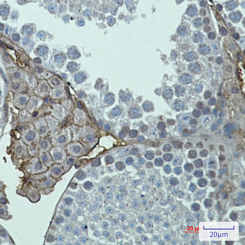
Immunohistochemistry analysis of paraffin-embedded mouse testis using Metabotropic Glutamate Receptor 2 antibody.High-pressure and temperature Sodium Citrate pH 6.0 was used for antigen retrieval.
Western blot analysis of Metabotropic Glutamate Receptor 2 in K562, Hela lysates using Metabotropic Glutamate Receptor 2 antibody.

关注我们

400-660-9091

电话:025-68037686

地址:江苏生命科技创新园F6幢1层

订购:nanjing03@biogot.com

服务:biorase01@biogot.com

合作:lvyun@biogot.com

支持:may@biogot.com