中国 EN 400-660-9091

联系我们

电话:025-68037686

地址:江苏生命科技创新园F6幢1层

订购:nanjing03@biogot.com

服务:biorase01@biogot.com

合作:lvyun@biogot.com

支持:may@biogot.com

ICAM1 monoclonal antibody

货号: MB11079
价格 1350
货期 现货(1-2个工作日)
25ul 50ul 100ul 200ul
No. :MB11079
Product Name :ICAM1 monoclonal antibody
Swiss-Prot :P05362
Host :Rabbit
Reactivity :Human
Applications :WB,IHC-P,IP
Application_all :WB: 1/500-1/1000 IHC: 1/50-1/100 IP: 1/20
Background :ICAM1 a type I membrane protein of the immunoglobulin superfamily. Is a ligand for the leukocyte adhesion LFA-1 protein (Integrin alpha-L/beta-2) and a Rhinovirus receptor. Typically expressed on endothelial cells and cells of the immune system.
Product :50mM Tris-Glycine(pH 7.4), 0.15M NaCl, 40% Glycerol, 0.01% Sodium azide and 0.05% BSA
Purification&Purity :Affinity Purified
Storage&Stability :Store at 4°C short term. Aliquot and store at -20°C long term. Avoid freeze-thaw cycles.
Specificity :IgG
BiowMW :Calculated MW: 58 kDa; Observed MW: 89,92 kDa
Note :For research use only, not for use in diagnostic procedure.
Alternative Name :ICAM1; Intercellular adhesion molecule 1; ICAM-1; Major group rhinovirus receptor; CD antigen CD54
Immunogen :Recombinant protein of human ICAM1
Conjugate :Unconjugated
Modification :Unmodified
Western blot analysis of ICAM1 in K562, Hela lysates using ICAM1 antibody.
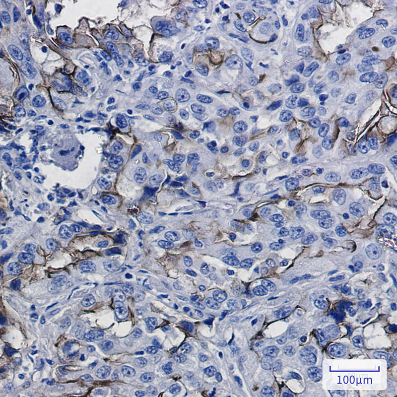
Immunohistochemistry analysis of paraffin-embedded Human lung cancer using ICAM1 antibody.High-pressure and temperature Sodium Citrate pH 6.0 was used for antigen retrieval.

关注我们

400-660-9091

电话:025-68037686

地址:江苏生命科技创新园F6幢1层

订购:nanjing03@biogot.com

服务:biorase01@biogot.com

合作:lvyun@biogot.com

支持:may@biogot.com