中国 EN 400-660-9091

联系我们

电话:025-68037686

地址:江苏生命科技创新园F6幢1层

订购:nanjing03@biogot.com

服务:biorase01@biogot.com

合作:lvyun@biogot.com

支持:may@biogot.com

Histone H3 monoclonal antibody

货号: MB11034
价格 1350
货期 现货(1-2个工作日)
25ul 50ul 100ul 200ul
No. :MB11034
Product Name :Histone H3 monoclonal antibody
Swiss-Prot :P68431
Host :Rabbit
Reactivity :Human,Mouse,Rat
Applications :WB,IHC-P
Application_all :WB: 1/500-1/1000 IHC: 1/50-1/100
Background :H3 Core component of nucleosome. Nucleosomes wrap and compact DNA into chromatin, limiting DNA accessibility to the cellular machineries which require DNA as a template. Histones thereby play a central role in transcription regulation, DNA repair, DNA replication and chromosomal stability.
Product :50mM Tris-Glycine(pH 7.4), 0.15M NaCl, 40% Glycerol, 0.01% Sodium azide and 0.05% BSA
Purification&Purity :Affinity Purified
Storage&Stability :Store at 4°C short term. Aliquot and store at -20°C long term. Avoid freeze-thaw cycles.
Specificity :IgG
BiowMW :Calculated MW: 15 kDa; Observed MW: 15 kDa
Note :For research use only, not for use in diagnostic procedure.
Alternative Name :H3 histone; family 3A; H3 histone; family 3B (H3.3B); H3.3A; H3.3B; H33; H3F3; H3F3A; H3F3B; Histone H3.3
Immunogen :A synthetic peptide of human Histone H3
Conjugate :Unconjugated
Modification :Unmodified
Western blot analysis of Histone H3 in Jurkat, THP-1, C6, 3T3 lysates using Histone H3 antibody.
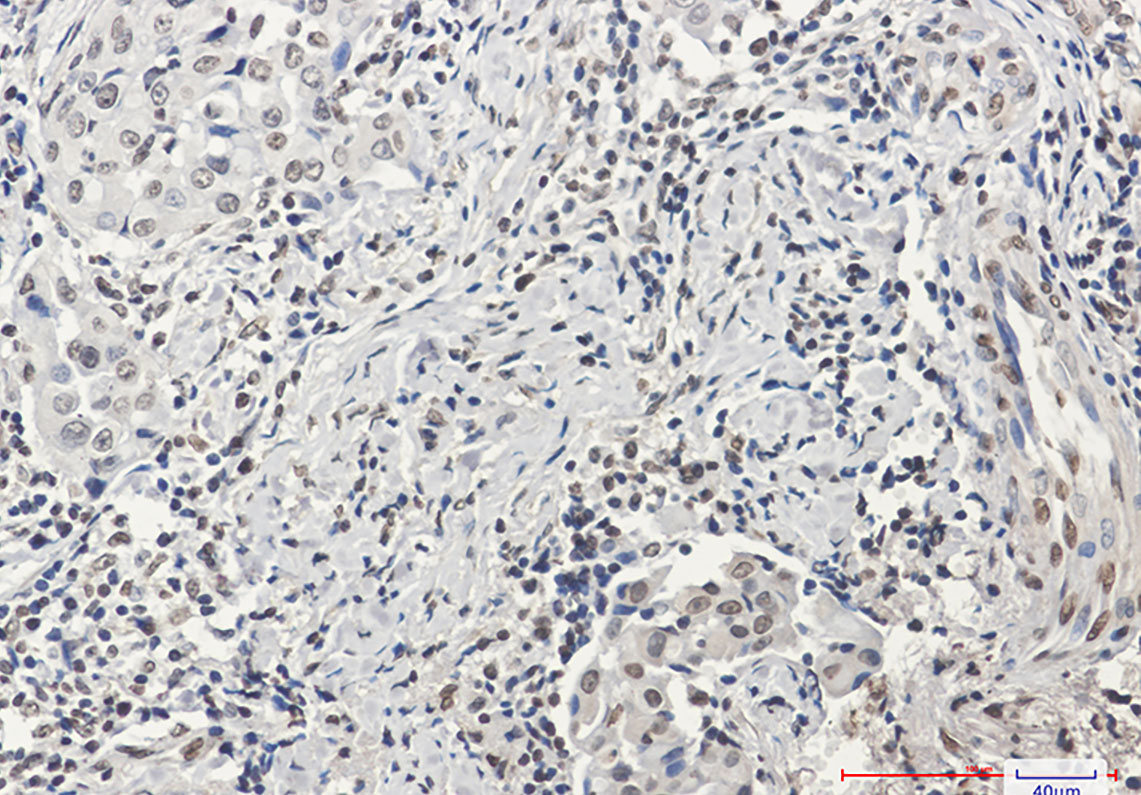
Immunohistochemistry analysis of paraffin-embedded Human lung cancer using Histone H3 antibody.High-pressure and temperature Sodium Citrate pH 6.0 was used for antigen retrieval.

关注我们

400-660-9091

电话:025-68037686

地址:江苏生命科技创新园F6幢1层

订购:nanjing03@biogot.com

服务:biorase01@biogot.com

合作:lvyun@biogot.com

支持:may@biogot.com