中国 EN 400-660-9091

联系我们

电话:025-68037686

地址:江苏生命科技创新园F6幢1层

订购:nanjing03@biogot.com

服务:biorase01@biogot.com

合作:lvyun@biogot.com

支持:may@biogot.com

Glucose 6 Phosphate Dehydrogenase monoclonal antibody

货号: MB10978
价格 1350
货期 现货(1-2个工作日)
25ul 50ul 100ul 200ul
No. :MB10978
Product Name :Glucose 6 Phosphate Dehydrogenase monoclonal antibody
Swiss-Prot :P11413
Host :Rabbit
Reactivity :Human,Rat
Applications :WB,IHC-P,IP
Application_all :WB: 1/500-1/1000 IHC: 1/50-1/100 IP: 1/20
Background :Catalyzes the rate-limiting step of the oxidative pentose-phosphate pathway, which represents a route for the dissimilation of carbohydrates besides glycolysis. The main function of this enzyme is to provide reducing power (NADPH) and pentose phosphates for fatty acid and nucleic acid synthesis.
Product :50mM Tris-Glycine(pH 7.4), 0.15M NaCl, 40% Glycerol, 0.01% Sodium azide and 0.05% BSA
Purification&Purity :Affinity Purified
Storage&Stability :Store at 4°C short term. Aliquot and store at -20°C long term. Avoid freeze-thaw cycles.
Specificity :IgG
BiowMW :Calculated MW: 59 kDa; Observed MW: 59 kDa
Note :For research use only, not for use in diagnostic procedure.
Alternative Name :G6PD; Glucose-6-phosphate 1-dehydrogenase; G6PD
Immunogen :Recombinant protein of human Glucose 6 Phosphate Dehydrogenase
Conjugate :Unconjugated
Modification :Unmodified
Western blot analysis of Glucose 6 Phosphate Dehydrogenase in K562, C6, Hela lysates using Glucose 6 Phosphate Dehydrogenase antibody.
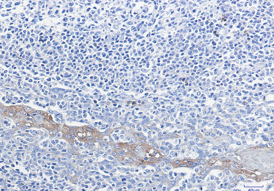
Immunohistochemistry analysis of paraffin-embedded Human tonsil using Glucose 6 Phosphate Dehydrogenase antibody.High-pressure and temperature Sodium Citrate pH 6.0 was used for antigen retrieval.

关注我们

400-660-9091

电话:025-68037686

地址:江苏生命科技创新园F6幢1层

订购:nanjing03@biogot.com

服务:biorase01@biogot.com

合作:lvyun@biogot.com

支持:may@biogot.com