中国 EN 400-660-9091

联系我们

电话:025-68037686

地址:江苏生命科技创新园F6幢1层

订购:nanjing03@biogot.com

服务:biorase01@biogot.com

合作:lvyun@biogot.com

支持:may@biogot.com

ELK1 monoclonal antibody

货号: MB10872
价格 1350
货期 现货(1-2个工作日)
25ul 50ul 100ul 200ul
No. :MB10872
Product Name :ELK1 monoclonal antibody
Swiss-Prot :P19419
Host :Rabbit
Reactivity :Human
Applications :WB,IHC-P,IP,ChIP
Application_all :WB: 1/500-1/1000 IHC: 1/50-1/100 IP: 1/20 ChIP: 1/20
Background :This gene is a member of the Ets family of transcription factors and of the ternary complex factor (TCF) subfamily. Proteins of the TCF subfamily form a ternary complex by binding to the the serum response factor and the serum reponse element in the promoter of the c-fos proto-oncogene. The protein encoded by this gene is a nuclear target for the ras-raf-MAPK signaling cascade.
Product :50mM Tris-Glycine(pH 7.4), 0.15M NaCl, 40% Glycerol, 0.01% Sodium azide and 0.05% BSA
Purification&Purity :Affinity Purified
Storage&Stability :Store at 4°C short term. Aliquot and store at -20°C long term. Avoid freeze-thaw cycles.
Specificity :IgG
BiowMW :Calculated MW: 45 kDa; Observed MW: 62 kDa
Note :For research use only, not for use in diagnostic procedure.
Alternative Name :ETS domain-containing protein Elk-1
Immunogen :A synthetic peptide of human ELK1
Conjugate :Unconjugated
Modification :Unmodified
Western blot analysis of ELK1 in Hela lysates using ELK1 antibody.
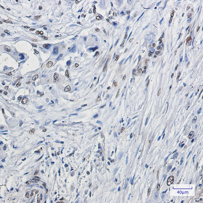
Immunohistochemistry analysis of paraffin-embedded Human lung cancer using ELK1 antibody.High-pressure and temperature Sodium Citrate pH 6.0 was used for antigen retrieval.
  • TMOD3 accelerated resistance to immunotherapy in KRAS-mutated pancreatic cancer through promoting autophagy-dependent degradation of ASCL4
    Journal10.1016/j.drup.2024.101171
    ApplicationChIP
    IF15.8
    SpeciesHuman

关注我们

400-660-9091

电话:025-68037686

地址:江苏生命科技创新园F6幢1层

订购:nanjing03@biogot.com

服务:biorase01@biogot.com

合作:lvyun@biogot.com

支持:may@biogot.com