中国 EN 400-660-9091

联系我们

电话:025-68037686

地址:江苏生命科技创新园F6幢1层

订购:nanjing03@biogot.com

服务:biorase01@biogot.com

合作:lvyun@biogot.com

支持:may@biogot.com

Phospho-EGFR (Tyr1092) monoclonal antibody

货号: MB10855
价格 1350
货期 现货(1-2个工作日)
25ul 50ul 100ul 200ul
No. :MB10855
Product Name :Phospho-EGFR (Tyr1092) monoclonal antibody
Swiss-Prot :P00533
Host :Rabbit
Reactivity :Human,Mouse,Rat
Applications :WB,IHC-P
Application_all :WB: 1/500-1/1000 IHC: 1/50-1/100
Background :EGFR is a receptor tyrosine kinase. Receptor for epidermal growth factor (EGF) and related growth factors including TGF-alpha, amphiregulin, betacellulin, heparin-binding EGF-like growth factor, GP30 and vaccinia virus growth factor. Is involved in the control of cell growth and differentiation. . A single-pass transmembrane tyrosine kinase. Ligand binding to this receptor results in receptor dimerization, autophosphorylation (in trans), activation of various downstream signaling molecules and lysosomal degradation.
Product :50mM Tris-Glycine(pH 7.4), 0.15M NaCl, 40% Glycerol, 0.01% Sodium azide and 0.05% BSA
Purification&Purity :Affinity Purified
Storage&Stability :Store at 4°C short term. Aliquot and store at -20°C long term. Avoid freeze-thaw cycles.
Specificity :IgG
BiowMW :Calculated MW: 134 kDa; Observed MW: 175 kDa
Note :For research use only, not for use in diagnostic procedure.
Alternative Name :EGFR; ERBB; ERBB1; HER1; Epidermal growth factor receptor; Proto-oncogene c-ErbB-1; Receptor tyrosine-protein kinase erbB-1
Immunogen :A synthetic phosphopeptide corresponding to residues surrounding Tyr1092 of human EGFR
Conjugate :Unconjugated
Modification :Phosphorylated
Western blot analysis of EGFR in C6, 3T3, Hela lysates using Phospho-EGFR antibody.
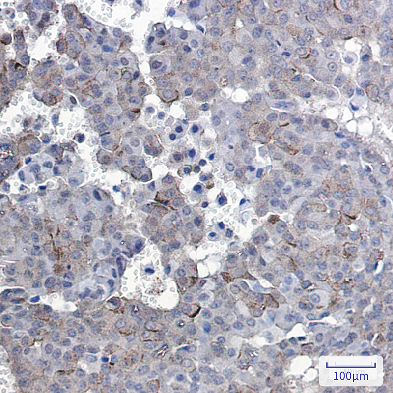
Immunohistochemistry analysis of paraffin-embedded Human breast cancer using Phospho-EGFR antibody.High-pressure and temperature Sodium Citrate pH 6.0 was used for antigen retrieval.

关注我们

400-660-9091

电话:025-68037686

地址:江苏生命科技创新园F6幢1层

订购:nanjing03@biogot.com

服务:biorase01@biogot.com

合作:lvyun@biogot.com

支持:may@biogot.com