中国 EN 400-660-9091

联系我们

电话:025-68037686

地址:江苏生命科技创新园F6幢1层

订购:nanjing03@biogot.com

服务:biorase01@biogot.com

合作:lvyun@biogot.com

支持:may@biogot.com

DPD monoclonal antibody

货号: MB10847
价格 1350
货期 现货(1-2个工作日)
25ul 50ul 100ul 200ul
No. :MB10847
Product Name :DPD monoclonal antibody
Swiss-Prot :Q12882
Host :Rabbit
Reactivity :Human,Rat
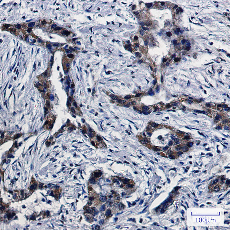
Applications :WB,IHC-F,IHC-P,ICC/IF
Application_all :WB: 1/500-1/1000 IHC: 1/50-1/100 IF: 1/50-1/200
Background :Involved in pyrimidine base degradation. Catalyzes the reduction of uracil and thymine. Also involved the degradation of the chemotherapeutic drug 5-fluorouracil.
Product :50mM Tris-Glycine(pH 7.4), 0.15M NaCl, 40% Glycerol, 0.01% Sodium azide and 0.05% BSA
Purification&Purity :Affinity Purified
Storage&Stability :Store at 4°C short term. Aliquot and store at -20°C long term. Avoid freeze-thaw cycles.
Specificity :IgG
BiowMW :Calculated MW: 111 kDa; Observed MW: 111 kDa
Note :For research use only, not for use in diagnostic procedure.
Alternative Name :DPYD; Dihydropyrimidine dehydrogenase [NADP(+)]; DHPDHase; DPD; Dihydrothymine dehydrogenase; Dihydrouracil dehydrogenase
Immunogen :A synthetic peptide of human DPD
Conjugate :Unconjugated
Modification :Unmodified
Western blot analysis of DPD in C6 lysates using DPD antibody.
Immunocytochemistry analysis of DPD in Hela using DPD antibody,and DAPI

关注我们

400-660-9091

电话:025-68037686

地址:江苏生命科技创新园F6幢1层

订购:nanjing03@biogot.com

服务:biorase01@biogot.com

合作:lvyun@biogot.com

支持:may@biogot.com