中国 EN 400-660-9091

联系我们

电话:025-68037686

地址:江苏生命科技创新园F6幢1层

订购:nanjing03@biogot.com

服务:biorase01@biogot.com

合作:lvyun@biogot.com

支持:may@biogot.com

Creatine Kinase B type monoclonal antibody

货号: MB10762
价格 1350
货期 现货(1-2个工作日)
25ul 50ul 100ul 200ul
No. :MB10762
Product Name :Creatine Kinase B type monoclonal antibody
Swiss-Prot :P12277
Host :Rabbit
Reactivity :Human,Mouse,Rat
Applications :WB,IHC-P,IP
Application_all :WB: 1/500-1/1000 IHC: 1/50-1/100 IP: 1/20
Background :Reversibly catalyzes the transfer of phosphate between ATP and various phosphogens (e.g. creatine phosphate). Creatine kinase isoenzymes play a central role in energy transduction in tissues with large, fluctuating energy demands, such as skeletal muscle, heart, brain and spermatozoa.
Product :50mM Tris-Glycine(pH 7.4), 0.15M NaCl, 40% Glycerol, 0.01% Sodium azide and 0.05% BSA
Purification&Purity :Affinity Purified
Storage&Stability :Store at 4°C short term. Aliquot and store at -20°C long term. Avoid freeze-thaw cycles.
Specificity :IgG
BiowMW :Calculated MW: 43 kDa; Observed MW: 43 kDa
Note :For research use only, not for use in diagnostic procedure.
Alternative Name :BCK; Ckb; CKBB; HEL 211; HEL S 29
Immunogen :A synthetic peptide of human Creatine kinase B type
Conjugate :Unconjugated
Modification :Unmodified
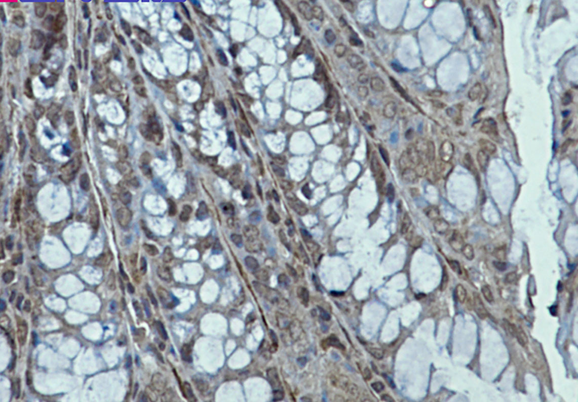
Immunohistochemistry analysis of paraffin-embedded mouse colon using Creatine Kinase B type antibody.High-pressure and temperature Sodium Citrate pH 6.0 was used for antigen retrieval.
Western blot analysis of Creatine kinase B type in K562, rat Brain, C6, 3T3 lysates using Creatine kinase B type antibody.

关注我们

400-660-9091

电话:025-68037686

地址:江苏生命科技创新园F6幢1层

订购:nanjing03@biogot.com

服务:biorase01@biogot.com

合作:lvyun@biogot.com

支持:may@biogot.com