中国 EN 400-660-9091

联系我们

电话:025-68037686

地址:江苏生命科技创新园F6幢1层

订购:nanjing03@biogot.com

服务:biorase01@biogot.com

合作:lvyun@biogot.com

支持:may@biogot.com

CDK4 monoclonal antibody

货号: MB10716
价格 1350
货期 现货(1-2个工作日)
25ul 50ul 100ul 200ul
No. :MB10716
Product Name :CDK4 monoclonal antibody
Swiss-Prot :P11802
Host :Rabbit
Reactivity :Human,Mouse,Rat
Applications :WB,IHC-F,IHC-P,ICC/IF,IP
Application_all :WB: 1/500-1/1000 IHC: 1/50-1/100 IF: 1/50-1/200 IP: 1/20
Background :Cyclin-dependent kinase activity is regulated by T-loop phosphorylation (Thr172 in the case of CDK4), by the abundance of their cyclin partners, and by association with CDK inhibitors of the Cip/Kip or INK family of proteins. Cyclin D-CDK4 complexes are major integrators of various mitogenenic and antimitogenic signals.
Product :50mM Tris-Glycine(pH 7.4), 0.15M NaCl, 40% Glycerol, 0.01% Sodium azide and 0.05% BSA
Purification&Purity :Affinity Purified
Storage&Stability :Store at 4°C short term. Aliquot and store at -20°C long term. Avoid freeze-thaw cycles.
Specificity :IgG
BiowMW :Calculated MW: 34 kDa; Observed MW: 34 kDa
Note :For research use only, not for use in diagnostic procedure.
Alternative Name :CMM3; PSK-J3
Immunogen :Recombinant protein of human Cdk4
Conjugate :Unconjugated
Modification :Unmodified
Western blot analysis of Cdk4 in K562, C6, 3T3, Hela lysates using CDK4 antibody.
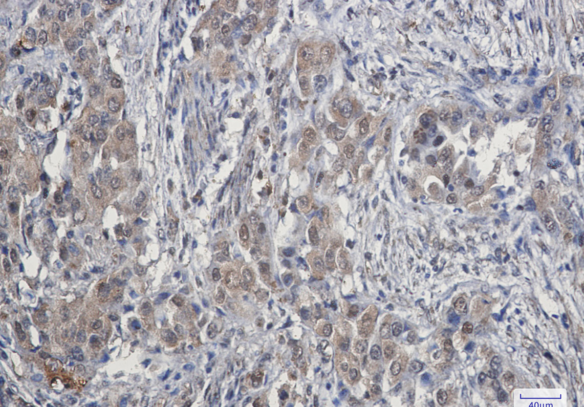
Immunohistochemistry analysis of paraffin-embedded Human lung cancer using Cdk4 antibody.High-pressure and temperature Sodium Citrate pH 6.0 was used for antigen retrieval.

关注我们

400-660-9091

电话:025-68037686

地址:江苏生命科技创新园F6幢1层

订购:nanjing03@biogot.com

服务:biorase01@biogot.com

合作:lvyun@biogot.com

支持:may@biogot.com