中国 EN 400-660-9091

联系我们

电话:025-68037686

地址:江苏生命科技创新园F6幢1层

订购:nanjing03@biogot.com

服务:biorase01@biogot.com

合作:lvyun@biogot.com

支持:may@biogot.com

Caspase 10 monoclonal antibody

货号: MB10659
价格 1350
货期 现货(1-2个工作日)
25ul 50ul 100ul 200ul
No. :MB10659
Product Name :Caspase 10 monoclonal antibody
Swiss-Prot :Q92851
Host :Rabbit
Reactivity :Human
Applications :WB,IHC-P,IP
Application_all :WB: 1/500-1/1000 IHC: 1/50-1/100 IP: 1/20
Background :Caspases are a family of cytosolic aspartate specific cysteine proteases. Involved in the activation cascade of caspases responsible for apoptosis execution. Cleaved Caspase 10 leads to the processing of Caspase 3 and Caspase 7, initiating a caspase cascade and subsequent apoptosis.
Product :50mM Tris-Glycine(pH 7.4), 0.15M NaCl, 40% Glycerol, 0.01% Sodium azide and 0.05% BSA
Purification&Purity :Affinity Purified
Storage&Stability :Store at 4°C short term. Aliquot and store at -20°C long term. Avoid freeze-thaw cycles.
Specificity :IgG
BiowMW :Calculated MW: 59 kDa; Observed MW: 59 kDa
Note :For research use only, not for use in diagnostic procedure.
Alternative Name :CASP10; MCH4; Caspase-10; CASP-10; Apoptotic protease Mch-4; FAS-associated death domain protein interleukin-1B-converting enzyme 2; FLICE2; ICE-like apoptotic protease 4
Immunogen :Recombinant protein of human Caspase-10
Conjugate :Unconjugated
Modification :Unmodified
Western blot analysis of Caspase 10 in K562 lysates using Caspase 10 antibody.
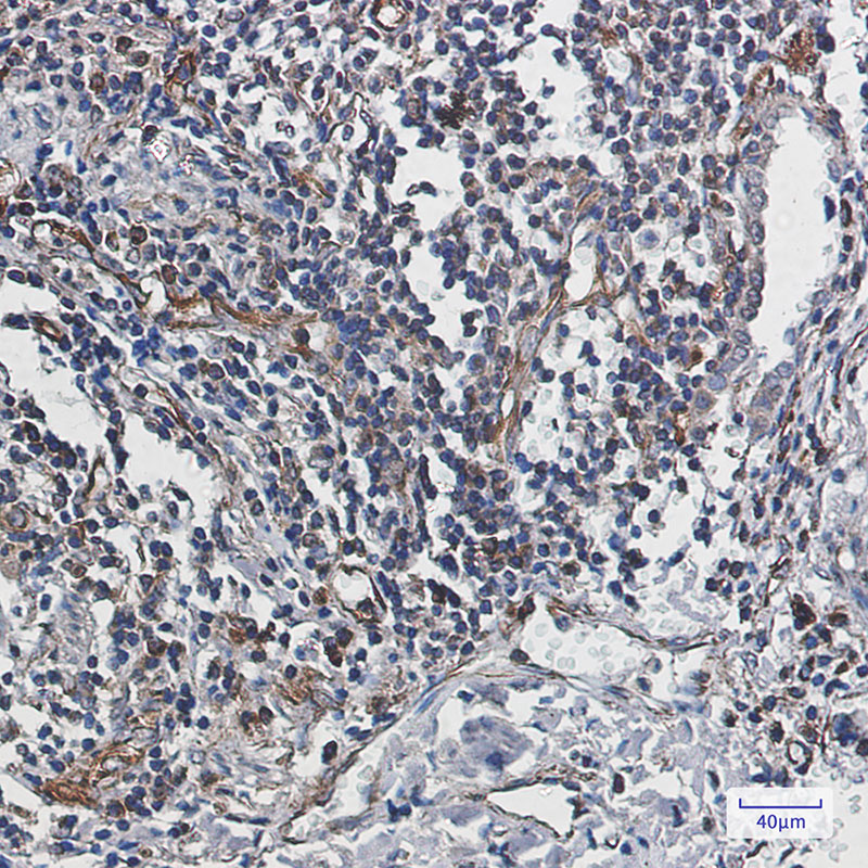
Immunohistochemistry analysis of paraffin-embedded Human lung cancer using Caspase10 antibody.High-pressure and temperature Sodium Citrate pH 6.0 was used for antigen retrieval.

关注我们

400-660-9091

电话:025-68037686

地址:江苏生命科技创新园F6幢1层

订购:nanjing03@biogot.com

服务:biorase01@biogot.com

合作:lvyun@biogot.com

支持:may@biogot.com