中国 EN 400-660-9091

联系我们

电话:025-68037686

地址:江苏生命科技创新园F6幢1层

订购:nanjing03@biogot.com

服务:biorase01@biogot.com

合作:lvyun@biogot.com

支持:may@biogot.com

BTF3 monoclonal antibody

货号: MB10637
价格 1350
货期 现货(1-2个工作日)
25ul 50ul 100ul 200ul
No. :MB10637
Product Name :BTF3 monoclonal antibody
Swiss-Prot :P20290
Host :Rabbit
Reactivity :Human,Mouse,Rat
Applications :WB,IHC-P,IP
Application_all :WB: 1/500-1/1000 IHC: 1/50-1/100 IP: 1/20
Background :When associated with NACA, prevents inappropriate targeting of non-secretory polypeptides to the endoplasmic reticulum (ER). Binds to nascent polypeptide chains as they emerge from the ribosome and blocks their interaction with the signal recognition particle (SRP), which normally targets nascent secretory peptides to the ER. BTF3 is also a general transcription factor that can form a stable complex with RNA polymerase II. Required for the initiation of transcription.
Product :50mM Tris-Glycine(pH 7.4), 0.15M NaCl, 40% Glycerol, 0.01% Sodium azide and 0.05% BSA
Purification&Purity :Affinity Purified
Storage&Stability :Store at 4°C short term. Aliquot and store at -20°C long term. Avoid freeze-thaw cycles.
Specificity :IgG
BiowMW :Calculated MW: 22 kDa; Observed MW: 22 kDa
Note :For research use only, not for use in diagnostic procedure.
Alternative Name :NACB; BTF3a; BTF3b; BETA-NAC
Immunogen :Recombinant protein of human BTF3
Conjugate :Unconjugated
Modification :Unmodified
Western blot analysis of BTF3 in C6, 3T3 lysates using BTF3 antibody.
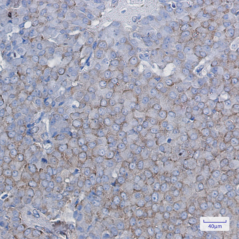
Immunohistochemistry analysis of paraffin-embedded Human breast cancer using BTF3 antibody.High-pressure and temperature Sodium Citrate pH 6.0 was used for antigen retrieval.

关注我们

400-660-9091

电话:025-68037686

地址:江苏生命科技创新园F6幢1层

订购:nanjing03@biogot.com

服务:biorase01@biogot.com

合作:lvyun@biogot.com

支持:may@biogot.com