中国 EN 400-660-9091

联系我们

电话:025-68037686

地址:江苏生命科技创新园F6幢1层

订购:nanjing03@biogot.com

服务:biorase01@biogot.com

合作:lvyun@biogot.com

支持:may@biogot.com

ATG4C monoclonal antibody

货号: MB10587
价格 1350
货期 现货(1-2个工作日)
25ul 50ul 100ul 200ul
No. :MB10587
Product Name :ATG4C monoclonal antibody
Swiss-Prot :Q96DT6
Host :Rabbit
Reactivity :Human
Applications :WB,IHC-P
Application_all :WB: 1/500-1/1000 IHC: 1/50-1/100
Background :Cysteine protease required for autophagy, which cleaves the C-terminal part of either MAP1LC3, GABARAPL2 or GABARAP, allowing the liberation of form I. A subpopulation of form I is subsequently converted to a smaller form (form II). Form II, with a revealed C-terminal glycine, is considered to be the phosphatidylethanolamine (PE)-conjugated form, and has the capacity for the binding to autophagosomes.
Product :50mM Tris-Glycine(pH 7.4), 0.15M NaCl, 40% Glycerol, 0.01% Sodium azide and 0.05% BSA
Purification&Purity :Affinity Purified
Storage&Stability :Store at 4°C short term. Aliquot and store at -20°C long term. Avoid freeze-thaw cycles.
Specificity :IgG
BiowMW :Calculated MW: 52 kDa; Observed MW: 52 kDa
Note :For research use only, not for use in diagnostic procedure.
Alternative Name :ATG4C; APG4C; AUTL1; AUTL3; Cysteine protease ATG4C; AUT-like 3 cysteine endopeptidase; Autophagin-3; Autophagy-related cysteine endopeptidase 3; Autophagy-related protein 4 homolog C
Immunogen :Recombinant protein of human ATG4C
Conjugate :Unconjugated
Modification :Unmodified
Western blot analysis of ATG4C in K562, Hela lysates using ATG4C antibody.
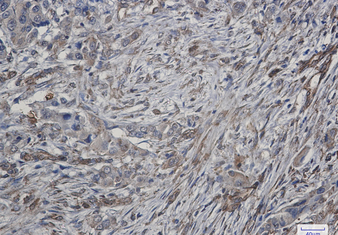
Immunohistochemistry analysis of paraffin-embedded Human lung cancer using ATG4C antibody.High-pressure and temperature Sodium Citrate pH 6.0 was used for antigen retrieval.

关注我们

400-660-9091

电话:025-68037686

地址:江苏生命科技创新园F6幢1层

订购:nanjing03@biogot.com

服务:biorase01@biogot.com

合作:lvyun@biogot.com

支持:may@biogot.com