中国 EN 400-660-9091

联系我们

电话:025-68037686

地址:江苏生命科技创新园F6幢1层

订购:nanjing03@biogot.com

服务:biorase01@biogot.com

合作:lvyun@biogot.com

支持:may@biogot.com

Adipose Triglyceride Lipase monoclonal antibody

货号: MB10500
价格 1350
货期 现货(1-2个工作日)
25ul 50ul 100ul 200ul
No. :MB10500
Product Name :Adipose Triglyceride Lipase monoclonal antibody
Swiss-Prot :Q96AD5
Host :Rabbit
Reactivity :Human,Mouse,Rat
Applications :WB,IHC-P,IP
Application_all :WB: 1/500-1/1000 IHC: 1/50-1/100 IP: 1/20
Background :Catalyzes the initial step in triglyceride hydrolysis in adipocyte and non-adipocyte lipid droplets. Also has acylglycerol transacylase activity. May act coordinately with LIPE/HLS within the lipolytic cascade. Regulates adiposome size and may be involved in the degradation of adiposomes.
Product :50mM Tris-Glycine(pH 7.4), 0.15M NaCl, 40% Glycerol, 0.01% Sodium azide and 0.05% BSA
Purification&Purity :Affinity Purified
Storage&Stability :Store at 4°C short term. Aliquot and store at -20°C long term. Avoid freeze-thaw cycles.
Specificity :IgG
BiowMW :Calculated MW: 55 kDa; Observed MW: 55 kDa
Note :For research use only, not for use in diagnostic procedure.
Alternative Name :ATGL; Desnutrin; plpl; plpl2; Pnpla2; TTS 2.2; TTS2; TTS2.2; ZETA
Immunogen :Recombinant protein of human Adipose Triglyceride Lipase
Conjugate :Unconjugated
Modification :Unmodified
Western blot analysis of Adipose Triglyceride Lipase in K562, C6, 3T3, Hela lysates using Adipose Triglyceride Lipase antibody.
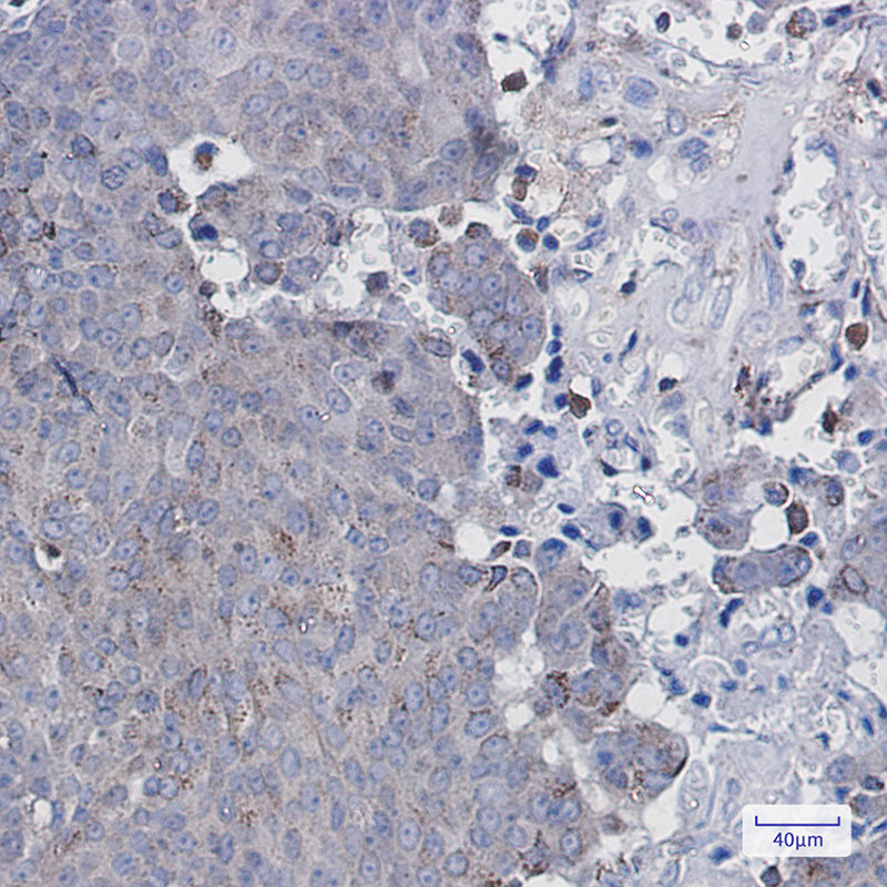
Immunohistochemistry analysis of paraffin-embedded Human breast cancer using Adipose Triglyceride Lipase antibody.High-pressure and temperature Sodium Citrate pH 6.0 was used for antigen retrieval.

关注我们

400-660-9091

电话:025-68037686

地址:江苏生命科技创新园F6幢1层

订购:nanjing03@biogot.com

服务:biorase01@biogot.com

合作:lvyun@biogot.com

支持:may@biogot.com