中国 EN 400-660-9091

联系我们

电话:025-68037686

地址:江苏生命科技创新园F6幢1层

订购:nanjing03@biogot.com

服务:biorase01@biogot.com

合作:lvyun@biogot.com

支持:may@biogot.com

GSK3 beta monoclonal antibody

货号: MB10395
价格 1350
货期 现货(1-2个工作日)
25ul 50ul 100ul 200ul
No. :MB10395
Product Name :GSK3 beta monoclonal antibody
Swiss-Prot :P49841
Host :Rabbit
Reactivity :Human,Rat,Hamster
Applications :WB,IHC-P
Application_all :WB: 1/500-1/1000 IHC: 1/50-1/100
Background :Glycogen synthase kinase-3 (GSK3) is a proline-directed serine-threonine kinase that was initially identified as a phosphorylating and inactivating glycogen synthase .GSK3B is involved in energy metabolism, neuronal cell development, and body pattern formation.In skeletal muscle, it contributes to insulin regulation of glycogen synthesis by phosphorylating and inhibiting GYS1 activity and hence glycogen synthesis.
Product :50mM Tris-Glycine(pH 7.4), 0.15M NaCl, 40% Glycerol, 0.01% Sodium azide and 0.05% BSA
Purification&Purity :Affinity Purified
Storage&Stability :Store at 4°C short term. Aliquot and store at -20°C long term. Avoid freeze-thaw cycles.
Specificity :IgG
BiowMW :Calculated MW: 47 kDa; Observed MW: 47 kDa
Note :For research use only, not for use in diagnostic procedure.
Alternative Name :GSK3B; Glycogen synthase kinase-3 beta; GSK-3 beta; Serine/threonine-protein kinase GSK3B
Immunogen :A synthetic peptide of human GSK3 beta
Conjugate :Unconjugated
Modification :Unmodified
Western blot analysis of GSK3 beta in Jurkat, C6, CHO-K1, Hela lysates using GSK3 beta antibody.
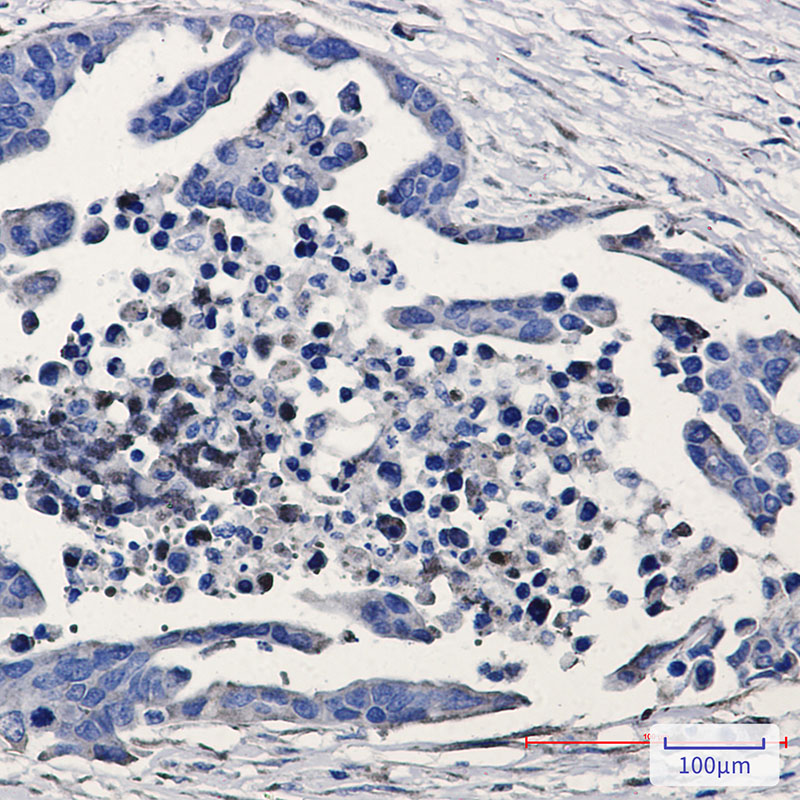
Immunohistochemistry analysis of paraffin-embedded Human Cholangiocarcinoma using GSK3 beta antibody.High-pressure and temperature Sodium Citrate pH 6.0 was used for antigen retrieval.

关注我们

400-660-9091

电话:025-68037686

地址:江苏生命科技创新园F6幢1层

订购:nanjing03@biogot.com

服务:biorase01@biogot.com

合作:lvyun@biogot.com

支持:may@biogot.com