中国 EN 400-660-9091

联系我们

电话:025-68037686

地址:江苏生命科技创新园F6幢1层

订购:nanjing03@biogot.com

服务:biorase01@biogot.com

合作:lvyun@biogot.com

支持:may@biogot.com

PBR monoclonal antibody

货号: MB10352
价格 1350
货期 现货(1-2个工作日)
25ul 50ul 100ul 200ul
No. :MB10352
Product Name :PBR monoclonal antibody
Swiss-Prot :B1AH88
Host :Rabbit
Reactivity :Human,Mouse
Applications :WB,IHC-F,IHC-P,ICC/IF,IP
Application_all :WB: 1/500-1/1000 IHC: 1/50-1/100 IF: 1/50-1/200 IP: 1/20
Background :Present mainly in the mitochondrial compartment of peripheral tissues, the protein encoded by this gene interacts with some benzodiazepines and has different affinities than its endogenous counterpart. The protein is a key factor in the flow of cholesterol into mitochondria to permit the initiation of steroid hormone synthesis.
Product :50mM Tris-Glycine(pH 7.4), 0.15M NaCl, 40% Glycerol, 0.01% Sodium azide and 0.05% BSA
Purification&Purity :Affinity Purified
Storage&Stability :Store at 4°C short term. Aliquot and store at -20°C long term. Avoid freeze-thaw cycles.
Specificity :IgG
BiowMW :Calculated MW: 11 kDa; Observed MW: 19 kDa
Note :For research use only, not for use in diagnostic procedure.
Alternative Name :TSPO; BZRP; MBR; Translocator protein; Mitochondrial benzodiazepine receptor; PKBS; Peripheral-type benzodiazepine receptor; PBR
Immunogen :A synthetic peptide of human PBR
Conjugate :Unconjugated
Modification :Unmodified
Western blot analysis of PBR/TSPO in 3T3, Hela lysates using PBR antibody.
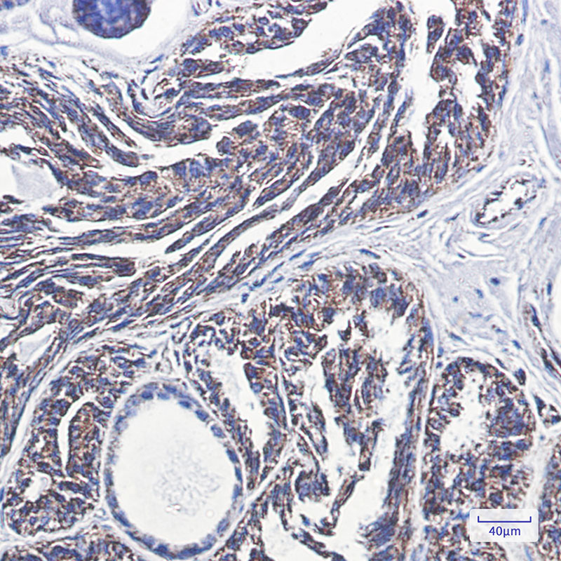
Immunohistochemistry analysis of paraffin-embedded Human breast cancer using PBR antibody.High-pressure and temperature Sodium Citrate pH 6.0 was used for antigen retrieval.

关注我们

400-660-9091

电话:025-68037686

地址:江苏生命科技创新园F6幢1层

订购:nanjing03@biogot.com

服务:biorase01@biogot.com

合作:lvyun@biogot.com

支持:may@biogot.com