中国 EN 400-660-9091

联系我们

电话:025-68037686

地址:江苏生命科技创新园F6幢1层

订购:nanjing03@biogot.com

服务:biorase01@biogot.com

合作:lvyun@biogot.com

支持:may@biogot.com

IL-1 beta polyclonal antibody

货号: BZ17070
价格 1140
货期 现货(1-2个工作日)
25ul 50ul 100ul 200ul
No. :BZ17070
Product Name :IL-1 beta polyclonal antibody
Swiss-Prot :P01584
Host :Rabbit
Reactivity :Human,Mouse,Rat
Applications :WB,IHC-P,ICC/IF
Application_all :WB: 1/500-1/1000 IHC: 1/50-1/100 IF: 1/50-1/200
Background :Produced by activated macrophages, IL-1 stimulates thymocyte proliferation by inducing IL-2 release, B-cell maturation and proliferation, and fibroblast growth factor activity. IL-1 proteins are involved in the inflammatory response, being identified as endogenous pyrogens, and are reported to stimulate the release of prostaglandin and collagenase from synovial cells.
Product :Liquid in PBS containing 50% glycerol, 0.5% BSA and 0.02% sodium azide, pH 7.3.
Purification&Purity :Affinity Purified
Storage&Stability :Store at 4°C short term. Aliquot and store at -20°C long term. Avoid freeze-thaw cycles.
Specificity :IgG
BiowMW :Calculated MW: 31 kDa; Observed MW: 17,31 kDa
Note :For research use only, not for use in diagnostic procedure.
Alternative Name :IL1B; IL1F2; Interleukin-1 beta; IL-1 beta; Catabolin
Immunogen :A synthetic peptide of human IL1B.Email for sequence
Conjugate :Unconjugated
Modification :Unmodified
Western blot analysis of IL-1 beta in various cell lines lysates using IL-1B antibody.
Western blot analysis of IL-1 beta in THP-1 lysates using IL-1B antibody.
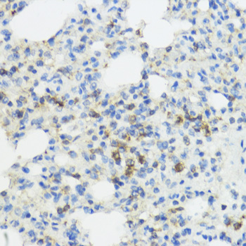
Immunohistochemistry analysis of paraffin-embedded rat lung using IL-1B antibody. High-pressure and temperature Sodium Citrate pH 6.0 was used for antigen retrieval.

关注我们

400-660-9091

电话:025-68037686

地址:江苏生命科技创新园F6幢1层

订购:nanjing03@biogot.com

服务:biorase01@biogot.com

合作:lvyun@biogot.com

支持:may@biogot.com