中国 EN 400-660-9091

联系我们

电话:025-68037686

地址:江苏生命科技创新园F6幢1层

订购:nanjing03@biogot.com

服务:biorase01@biogot.com

合作:lvyun@biogot.com

支持:may@biogot.com

Acetyl-Histone H2B (Lys15) polyclonal antibody

货号: BZ17069
价格 1350
货期 现货(1-2个工作日)
25ul 50ul 100ul 200ul
No. :BZ17069
Product Name :Acetyl-Histone H2B (Lys15) polyclonal antibody
Swiss-Prot :P33778
Host :Rabbit
Reactivity :Human,Mouse,Rat
Applications :WB,IHC-F,IHC-P,ICC/IF,IP
Application_all :WB: 1/500-1/1000 IHC: 1/50-1/100 IF: 1/50-1/200 IP: 1/20
Background :Belongs to the histone H2B family. Play a central role in transcription regulation, DNA repair, DNA replication and chromosomal stability. DNA accessibility is regulated via a complex set of post-translational modifications of histones, also called histone code, and nucleosome remodeling.
Product :Liquid in PBS containing 50% glycerol, 0.5% BSA and 0.02% sodium azide, pH 7.3.
Purification&Purity :Affinity Purified
Storage&Stability :Store at 4°C short term. Aliquot and store at -20°C long term. Avoid freeze-thaw cycles.
Specificity :IgG
BiowMW :Calculated MW: 14 kDa; Observed MW: 14 kDa
Note :For research use only, not for use in diagnostic procedure.
Alternative Name :H2BK15ac; H2B 1A; H2B; H2B histone family; H2B2f; H2Ba; H2Bf; HIST2H2BF; histone H2B; histone H2B type 1; Histone H2B type 2-F
Immunogen :AA synthetic acetylated peptide corresponding to residues surrounding K15 of human Histone H2B
Conjugate :Unconjugated
Modification :Acetylated
Western blot analysis of Acetyl-Histone H2B in various cell lines lysates using Acetyl-Histone H2BK15 antibody.
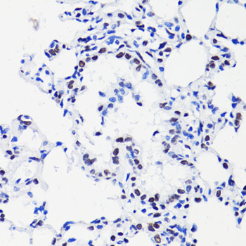
Immunohistochemistry analysis of paraffin-embedded rat lung using Acetyl-Histone H2B antibody.High-pressure and temperature Sodium Citrate pH 6.0 was used for antigen retrieval.
Immunohistochemistry analysis of paraffin-embedded Human breast cancer using H2B K15ac antibody. High-pressure and temperature Sodium Citrate pH 6.0 was used for antigen retrieval.

关注我们

400-660-9091

电话:025-68037686

地址:江苏生命科技创新园F6幢1层

订购:nanjing03@biogot.com

服务:biorase01@biogot.com

合作:lvyun@biogot.com

支持:may@biogot.com