中国 EN 400-660-9091

联系我们

电话:025-68037686

地址:江苏生命科技创新园F6幢1层

订购:nanjing03@biogot.com

服务:biorase01@biogot.com

合作:lvyun@biogot.com

支持:may@biogot.com

APG5L polyclonal antibody

货号: BZ17049
价格 1140
货期 现货(1-2个工作日)
25ul 50ul 100ul 200ul
No. :BZ17049
Product Name :APG5L polyclonal antibody
Swiss-Prot :Q9H1Y0
Host :Rabbit
Reactivity :Human
Applications :WB,IHC-F,IHC-P,ICC/IF,FC
Application_all :WB: 1/500-1/1000 IHC: 1/50-1/100 IF: 1/50-1/200 FC: 1/50-1/100
Background :Required for autophagy. Conjugates to ATG12 and associates with isolation membrane to form cup-shaped isolation membrane and autophagosome. Involved in mitochondrial quality control after oxidative damage, and in subsequent cellular longevity.
Product :50mM Tris-Glycine(pH 7.4), 0.15M NaCl, 40% Glycerol, 0.01% Sodium azide and 0.05% BSA
Purification&Purity :Affinity Purified
Storage&Stability :Store at 4°C short term. Aliquot and store at -20°C long term. Avoid freeze-thaw cycles.
Specificity :IgG
BiowMW :Calculated MW: 32 kDa; Observed MW: 55 kDa
Note :For research use only, not for use in diagnostic procedure.
Alternative Name :APG 5L; APG5; APG5 autophagy 5 like; APG5 like; APG5-like; Apoptosis specific protein; ASP; ATG 5; ATG5 autophagy related 5 homolog; Autophagy protein 5; hAPG5
Immunogen :A synthetic peptide of human APG5L/ATG5
Conjugate :Unconjugated
Modification :Unmodified
Western blot analysis of Atg5/Apg5L in Raji lysates using APG5L antibody.
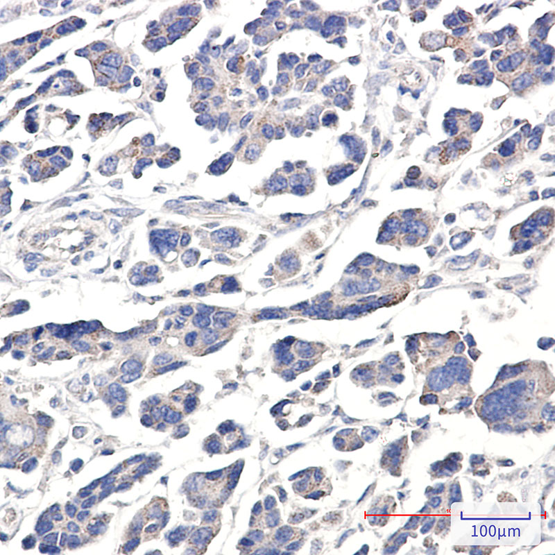
Immunohistochemistry analysis of paraffin-embedded Human Cholangiocarcinoma using APG5L/ATG5 antibody.High-pressure and temperature Sodium Citrate pH 6.0 was used for antigen retrieval.

关注我们

400-660-9091

电话:025-68037686

地址:江苏生命科技创新园F6幢1层

订购:nanjing03@biogot.com

服务:biorase01@biogot.com

合作:lvyun@biogot.com

支持:may@biogot.com