中国 EN 400-660-9091

联系我们

电话:025-68037686

地址:江苏生命科技创新园F6幢1层

订购:nanjing03@biogot.com

服务:biorase01@biogot.com

合作:lvyun@biogot.com

支持:may@biogot.com

SA2 polyclonal antibody

货号: BZ16986
价格 1140
货期 现货(1-2个工作日)
25ul 50ul 100ul 200ul
No. :BZ16986
Product Name :SA2 polyclonal antibody
Swiss-Prot :Q8N3U4
Host :Rabbit
Reactivity :Human,Mouse,Rat
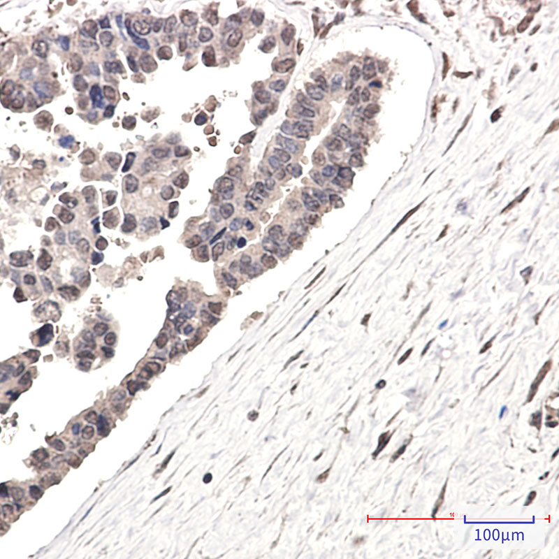
Applications :WB,IHC-F,IHC-P,ICC/IF,FC
Application_all :WB: 1/500-1/1000 IHC: 1/50-1/100 IF: 1/50-1/200 FC: 1/50-1/100
Background :Component of cohesin complex, a complex required for the cohesion of sister chromatids after DNA replication. The cohesin complex apparently forms a large proteinaceous ring within which sister chromatids can be trapped. At anaphase, the complex is cleaved and dissociates from chromatin, allowing sister chromatids to segregate.
Product :50mM Tris-Glycine(pH 7.4), 0.15M NaCl, 40% Glycerol, 0.01% Sodium azide and 0.05% BSA
Purification&Purity :Affinity Purified
Storage&Stability :Store at 4°C short term. Aliquot and store at -20°C long term. Avoid freeze-thaw cycles.
Specificity :IgG
BiowMW :Calculated MW: 141 kDa; Observed MW: 141 kDa
Note :For research use only, not for use in diagnostic procedure.
Alternative Name :SA 2; SA-2; SA2; SCC3 homolog 2; SCC3B; stag2; Stromal antigen 2
Immunogen :Recombinant protein of human SA2
Conjugate :Unconjugated
Modification :Unmodified
Western blot analysis of SA2/STAG2 in K562, C6, 3T3, Hela lysates using SA2 antibody.
Immunocytochemistry analysis of SA2 in Hela using SA2 antibody,and DAPI

关注我们

400-660-9091

电话:025-68037686

地址:江苏生命科技创新园F6幢1层

订购:nanjing03@biogot.com

服务:biorase01@biogot.com

合作:lvyun@biogot.com

支持:may@biogot.com