中国 EN 400-660-9091

联系我们

电话:025-68037686

地址:江苏生命科技创新园F6幢1层

订购:nanjing03@biogot.com

服务:biorase01@biogot.com

合作:lvyun@biogot.com

支持:may@biogot.com

Bid polyclonal antibody

货号: BZ16789
价格 1140
货期 现货(1-2个工作日)
25ul 50ul 100ul 200ul
No. :BZ16789
Product Name :Bid polyclonal antibody
Swiss-Prot :P55957
Host :Rabbit
Reactivity :Human
Applications :WB,IHC-P,ICC/IF,IP,FC
Application_all :WB: 1/500-1/1000 IHC: 1/50-1/100 IF: 1/50-1/200 IP: 1/20 FC: 1/50-1/100
Background :The major proteolytic product p15 BID allows the release of cytochrome c (By similarity). Isoform 1, isoform 2 and isoform 4 induce ICE-like proteases and apoptosis. Isoform 3 does not induce apoptosis. Counters the protective effect of Bcl-2.
Product :Rabbit IgG in phosphate buffered saline , pH 7.4, 150mM NaCl, 0.02% sodium azide and 50% glycerol.
Purification&Purity :Affinity Purified
Storage&Stability :Store at 4°C short term. Aliquot and store at -20°C long term. Avoid freeze-thaw cycles.
Specificity :IgG
BiowMW :Calculated MW: 22 kDa; Observed MW: 22 kDa
Note :For research use only, not for use in diagnostic procedure.
Alternative Name :FP497; MGC15319; MGC42355; BID
Immunogen :A synthesized peptide derived from human Bid
Conjugate :Unconjugated
Modification :Unmodified
Western blot analysis of Bid in Jurkat lysates using Bid antibody.
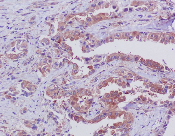
Immunohistochemistry analysis of paraffin-embedded Human lung using Bid antibody.High-pressure and temperature Sodium Citrate pH 6.0 was used for antigen retrieval.
Immunofluorescence analysis of Bid in Jurkat using Bid antibody.

关注我们

400-660-9091

电话:025-68037686

地址:江苏生命科技创新园F6幢1层

订购:nanjing03@biogot.com

服务:biorase01@biogot.com

合作:lvyun@biogot.com

支持:may@biogot.com