中国 EN 400-660-9091

联系我们

电话:025-68037686

地址:江苏生命科技创新园F6幢1层

订购:nanjing03@biogot.com

服务:biorase01@biogot.com

合作:lvyun@biogot.com

支持:may@biogot.com

Bcl2 polyclonal antibody

货号: BZ16777
价格 1140
货期 现货(1-2个工作日)
25ul 50ul 100ul
No. :BZ16777
Product Name :Bcl2 polyclonal antibody
Swiss-Prot :P10415
Host :Rabbit
Reactivity :Human,Mouse
Applications :WB,IHC-P,ICC/IF,FC
Application_all :WB: 1/500-1/1000 IHC: 1/50-1/100 IF: 1/50-1/200 FC: 1/50-1/100
Background :This gene encodes an integral outer mitochondrial membrane protein that blocks the apoptotic death of some cells such as lymphocytes. Constitutive expression of BCL2, such as in the case of translocation of BCL2 to Ig heavy chain locus, is thought to be the cause of follicular lymphoma.
Product :Rabbit IgG in phosphate buffered saline , pH 7.4, 150mM NaCl, 0.02% sodium azide and 50% glycerol.
Purification&Purity :Affinity Purified
Storage&Stability :Store at 4°C short term. Aliquot and store at -20°C long term. Avoid freeze-thaw cycles.
Specificity :IgG
BiowMW :Calculated MW: 26 kDa; Observed MW: 26 kDa
Note :For research use only, not for use in diagnostic procedure.
Alternative Name :BCL2; Apoptosis regulator Bcl-2
Immunogen :A synthesized peptide derived from human Bcl-2
Conjugate :Unconjugated
Modification :Unmodified
Western blot analysis of Bcl2 in 293T, 3T3 and Hela lysates using Bcl2 antibody.
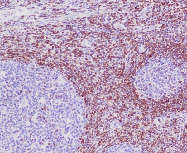
Immunohistochemistry analysis of paraffin-embedded Human tonsil using Bcl2 antibody.High-pressure and temperature Sodium Citrate pH 6.0 was used for antigen retrieval.
  • m6A-modified circZNF548 regulates exosomal miR-7108-3p to activate CD3+CD8+ T cells and suppress NSCLC growth by JMY
    JournalBMC BIOLOGY
    ApplicationWB
    IF4.5
    SpeciesHuman

关注我们

400-660-9091

电话:18013895086

地址:江苏生命科技创新园F6幢1层

订购:nanjing03@biogot.com

服务:biorase01@biogot.com

合作:lvyun@biogot.com

支持:may@biogot.com