中国 EN 400-660-9091

联系我们

电话:025-68037686

地址:江苏生命科技创新园F6幢1层

订购:nanjing03@biogot.com

服务:biorase01@biogot.com

合作:lvyun@biogot.com

支持:may@biogot.com

E2F1 polyclonal antibody

货号: BZ16745
价格 1140
货期 现货(1-2个工作日)
25ul 50ul 100ul 200ul
No. :BZ16745
Product Name :E2F1 polyclonal antibody
Swiss-Prot :Q01094
Host :Rabbit
Reactivity :Human,Mouse,Rat
Applications :WB,IHC-P,ICC/IF,IP,FC
Application_all :WB: 1/500-1/1000 IHC: 1/50-1/100 IF: 1/50-1/200 IP: 1/20 FC: 1/50-1/100
Background :The protein encoded by this gene is a member of the E2F family of transcription factors. The E2F family plays a crucial role in the control of cell cycle and action of tumor suppressor proteins and is also a target of the transforming proteins of small DNA tumor viruses.
Product :Rabbit IgG in phosphate buffered saline , pH 7.4, 150mM NaCl, 0.02% sodium azide and 50% glycerol.
Purification&Purity :Affinity Purified
Storage&Stability :Store at 4°C short term. Aliquot and store at -20°C long term. Avoid freeze-thaw cycles.
Specificity :IgG
BiowMW :Calculated MW: 47 kDa; Observed MW: 65 kDa
Note :For research use only, not for use in diagnostic procedure.
Alternative Name :E2F1; RBBP3; Transcription factor E2F1; E2F-1; PBR3; Retinoblastoma-associated protein 1; RBAP-1; Retinoblastoma-binding protein 3; RBBP-3; pRB-binding protein E2F-1
Immunogen :A synthesized peptide derived from human E2F1
Conjugate :Unconjugated
Modification :Unmodified
Western blot analysis of E2F1 in HeLa lysates; NIH/3T3 lysates using E2F1 antibody.
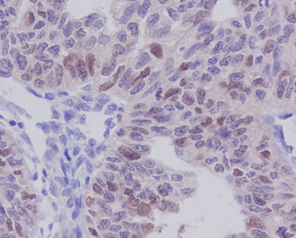
Immunohistochemistry analysis of paraffin-embedded Human ovary carcinoma using E2F1 antibody.High-pressure and temperature Sodium Citrate pH 6.0 was used for antigen retrieval.
Immunofluorescence analysis of E2F1 in HeLa using E2F1 antibody.

关注我们

400-660-9091

电话:025-68037686

地址:江苏生命科技创新园F6幢1层

订购:nanjing03@biogot.com

服务:biorase01@biogot.com

合作:lvyun@biogot.com

支持:may@biogot.com