中国 EN 400-660-9091

联系我们

电话:025-68037686

地址:江苏生命科技创新园F6幢1层

订购:nanjing03@biogot.com

服务:biorase01@biogot.com

合作:lvyun@biogot.com

支持:may@biogot.com

Trk polyclonal antibody

货号: BZ16725
价格 1140
货期 现货(1-2个工作日)
25ul 50ul 100ul 200ul
No. :BZ16725
Product Name :Trk polyclonal antibody
Swiss-Prot :P04629/Q16288/Q16620
Host :Rabbit
Reactivity :Human,Mouse,Rat
Applications :WB,IHC-P,ICC/IF
Application_all :WB: 1/500-1/1000 IHC: 1/50-1/100 IF: 1/50-1/200
Background :The family of Trk receptor tyrosine kinases consists of TrkA, TrkB, and TrkC. While the sequence of these family members is highly conserved, they are activated by different neurotrophins: TrkA by NGF, TrkB by BDNF or NT4, and TrkC by NT3. Neurotrophin signaling through these receptors regulates a number of physiological processes, such as cell survival, proliferation, neural development, and axon and dendrite growth and patterning.
Product :Rabbit IgG in phosphate buffered saline , pH 7.4, 150mM NaCl, 0.02% sodium azide and 50% glycerol.
Purification&Purity :Affinity Purified
Storage&Stability :Store at 4°C short term. Aliquot and store at -20°C long term. Avoid freeze-thaw cycles.
Specificity :IgG
BiowMW :Calculated MW: 87 kDa; Observed MW: 140 kDa
Note :For research use only, not for use in diagnostic procedure.
Alternative Name :gp140trk; GP145-TrkB; GP145-TrkC; MTC; NTRK1; NTRK2; NTRK3; p140-TrkA; TRKA; TRKB; TrkB tyrosine kinase; TRKC
Immunogen :A synthesized peptide derived from human TrkA+B+C
Conjugate :Unconjugated
Modification :Unmodified
Western blot analysis of TrkA+B+C in Human fetal brain lysates using Trk antibody.
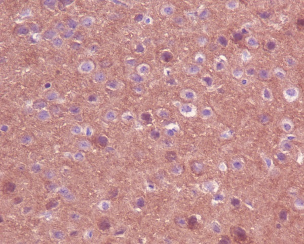
Immunohistochemistry analysis of paraffin-embedded mouse brain using TrkA+B+C antibody.High-pressure and temperature Sodium Citrate pH 6.0 was used for antigen retrieval.
Immunofluorescence analysis of Trk in Neuro2a using TrkA+B+C antibody.

关注我们

400-660-9091

电话:025-68037686

地址:江苏生命科技创新园F6幢1层

订购:nanjing03@biogot.com

服务:biorase01@biogot.com

合作:lvyun@biogot.com

支持:may@biogot.com