中国 EN 400-660-9091

联系我们

电话:025-68037686

地址:江苏生命科技创新园F6幢1层

订购:nanjing03@biogot.com

服务:biorase01@biogot.com

合作:lvyun@biogot.com

支持:may@biogot.com

ATF5 polyclonal antibody

货号: BZ16715
价格 1140
货期 现货(1-2个工作日)
25ul 50ul 100ul 200ul
No. :BZ16715
Product Name :ATF5 polyclonal antibody
Swiss-Prot :Q9Y2D1
Host :Rabbit
Reactivity :Human,Mouse,Rat
Applications :WB,IHC-P,ICC/IF,IP
Application_all :WB: 1/500-1/1000 IHC: 1/50-1/100 IF: 1/50-1/200 IP: 1/20
Background :ATF5 or Activating transcription factor 5, binds to cAMP inducible promoters and is involved in gene transcription. This protein binds the cAMP response element (CRE) (consensus: 5'-GTGACGT[AC][AG]-3'), a sequence present in many viral and cellular promoters. ATF5 plays a role in inhibition of nerve growth factor induced neuronal outgrowth and regulation of neurogenesis.
Product :Rabbit IgG in phosphate buffered saline , pH 7.4, 150mM NaCl, 0.02% sodium azide and 50% glycerol.
Purification&Purity :Affinity Purified
Storage&Stability :Store at 4°C short term. Aliquot and store at -20°C long term. Avoid freeze-thaw cycles.
Specificity :IgG
BiowMW :Calculated MW: 31 kDa; Observed MW: 31 kDa
Note :For research use only, not for use in diagnostic procedure.
Alternative Name :ATF5; ATFX; Cyclic AMP-dependent transcription factor ATF-5; cAMP-dependent transcription factor ATF-5; Activating transcription factor 5; Transcription factor ATFx
Immunogen :A synthesized peptide derived from human ATF5
Conjugate :Unconjugated
Modification :Unmodified
Western blot analysis of ATF5 in Jurkat lysates; 3T3 lysates; C6 lysates using ATF5 antibody.
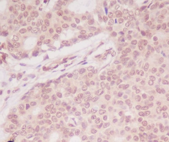
Immunohistochemistry analysis of paraffin-embedded Human breast using ATF5 antibody.High-pressure and temperature Sodium Citrate pH 6.0 was used for antigen retrieval.

关注我们

400-660-9091

电话:025-68037686

地址:江苏生命科技创新园F6幢1层

订购:nanjing03@biogot.com

服务:biorase01@biogot.com

合作:lvyun@biogot.com

支持:may@biogot.com