中国 EN 400-660-9091

联系我们

电话:025-68037686

地址:江苏生命科技创新园F6幢1层

订购:nanjing03@biogot.com

服务:biorase01@biogot.com

合作:lvyun@biogot.com

支持:may@biogot.com

Histone H1.0 polyclonal antibody

货号: BZ16708
价格 1140
货期 现货(1-2个工作日)
25ul 50ul 100ul 200ul
No. :BZ16708
Product Name :Histone H1.0 polyclonal antibody
Swiss-Prot :P07305
Host :Rabbit
Reactivity :Human,Mouse,Rat
Applications :WB,IHC-P,ICC/IF
Application_all :WB: 1/500-1/1000 IHC: 1/50-1/100 IF: 1/50-1/200
Background :Histone H1.0 is a lysine rich member of the H1 family of linker histones. The H1 family of proteins interacts with linker DNA between nucleosomes and mediates compaction into higher order chromatin. Histones H1 are necessary for the condensation of nucleosome chains into higher-order structures. The H1F0 histones are found in cells that are in terminal stages of differentiation or that have low rates of cell division.
Product :Rabbit IgG in phosphate buffered saline , pH 7.4, 150mM NaCl, 0.02% sodium azide and 50% glycerol.
Purification&Purity :Affinity Purified
Storage&Stability :Store at 4°C short term. Aliquot and store at -20°C long term. Avoid freeze-thaw cycles.
Specificity :IgG
BiowMW :Calculated MW: 21 kDa; Observed MW: 28 kDa
Note :For research use only, not for use in diagnostic procedure.
Alternative Name :Histone H1.0; Histone H1(0); Histone H1.0; N-terminally processed; H1F0; H1FV; Histone H5
Immunogen :A synthesized peptide derived from human Histone H1.0
Conjugate :Unconjugated
Modification :Unmodified
Western blot analysis of Histone H1.0 in Human kidney lysates using Histone H1.0 antibody.
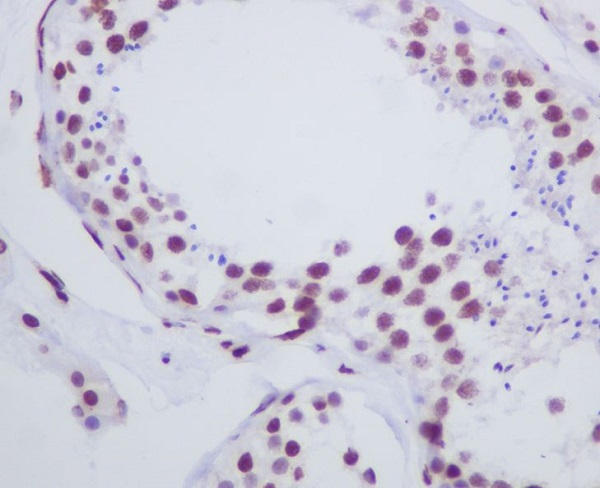
Immunohistochemistry analysis of paraffin-embedded Human testis using Histone H1.0 antibody.High-pressure and temperature Sodium Citrate pH 6.0 was used for antigen retrieval.
Immunofluorescence analysis of Histone H1.0 in HepG2 using Histone H1.0 antibody.

关注我们

400-660-9091

电话:025-68037686

地址:江苏生命科技创新园F6幢1层

订购:nanjing03@biogot.com

服务:biorase01@biogot.com

合作:lvyun@biogot.com

支持:may@biogot.com