中国 EN 400-660-9091

联系我们

电话:025-68037686

地址:江苏生命科技创新园F6幢1层

订购:nanjing03@biogot.com

服务:biorase01@biogot.com

合作:lvyun@biogot.com

支持:may@biogot.com

MTCO2 polyclonal antibody

货号: BZ16684
价格 1140
货期 现货(1-2个工作日)
25ul 50ul 100ul 200ul
No. :BZ16684
Product Name :MTCO2 polyclonal antibody
Swiss-Prot :P00403
Host :Rabbit
Reactivity :Human
Applications :WB,IHC-P,ICC/IF,IP,FC
Application_all :WB: 1/500-1/1000 IHC: 1/50-1/100 IF: 1/50-1/200 IP: 1/20 FC: 1/50-1/100
Background :Cytochrome c oxidase is the component of the respiratory chain that catalyzes the reduction of oxygen to water. Subunits 1-3 form the functional core of the enzyme complex. Subunit 2 transfers the electrons from cytochrome c via its binuclear copper A center to the bimetallic center of the catalytic subunit 1.
Product :Rabbit IgG in phosphate buffered saline , pH 7.4, 150mM NaCl, 0.02% sodium azide and 50% glycerol.
Purification&Purity :Affinity Purified
Storage&Stability :Store at 4°C short term. Aliquot and store at -20°C long term. Avoid freeze-thaw cycles.
Specificity :IgG
BiowMW :Calculated MW: 26 kDa; Observed MW: 21 kDa
Note :For research use only, not for use in diagnostic procedure.
Alternative Name :MT-CO2; COX2; CO2; Cytochrome c oxidase II; MTCO2; COII; COXII
Immunogen :A synthesized peptide derived from human MTCO2
Conjugate :Unconjugated
Modification :Unmodified
Western blot analysis of MTCO2 in K562 lysates using MTCO2 antibody.
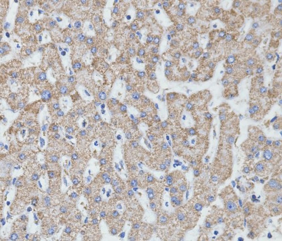
Immunohistochemistry analysis of paraffin-embedded Human liver using MTCO2 antibody.High-pressure and temperature Sodium Citrate pH 6.0 was used for antigen retrieval.

关注我们

400-660-9091

电话:025-68037686

地址:江苏生命科技创新园F6幢1层

订购:nanjing03@biogot.com

服务:biorase01@biogot.com

合作:lvyun@biogot.com

支持:may@biogot.com