中国 EN 400-660-9091

联系我们

电话:025-68037686

地址:江苏生命科技创新园F6幢1层

订购:nanjing03@biogot.com

服务:biorase01@biogot.com

合作:lvyun@biogot.com

支持:may@biogot.com

MEKK2 polyclonal antibody

货号: BZ16680
价格 1140
货期 现货(1-2个工作日)
25ul 50ul 100ul 200ul
No. :BZ16680
Product Name :MEKK2 polyclonal antibody
Swiss-Prot :Q9Y2U5
Host :Rabbit
Reactivity :Human,Mouse,Rat
Applications :WB,IHC-P,ICC/IF,IP,FC
Application_all :WB: 1/500-1/1000 IHC: 1/50-1/100 IF: 1/50-1/200 IP: 1/20 FC: 1/50-1/100
Background :The protein encoded by this gene is a member of serine/threonine protein kinase family. This kinase preferentially activates the kinases involved in the MAP kinase signaling pathway including MAPK7 and MAP2K4. This kinase has been shown to directly phosphorylate and activate Ikappa B kinases (IKKs), and thus plays a role in NF-kappa B signaling pathway. This kinase has also been found to bind and activate protein kinase C-related kinase 2 (PRKCL2/PRK2), which suggests its involvement in PRKCL2 regulated signaling process.
Product :Rabbit IgG in phosphate buffered saline , pH 7.4, 150mM NaCl, 0.02% sodium azide and 50% glycerol.
Purification&Purity :Affinity Purified
Storage&Stability :Store at 4°C short term. Aliquot and store at -20°C long term. Avoid freeze-thaw cycles.
Specificity :IgG
BiowMW :Calculated MW: 70 kDa; Observed MW: 70 kDa
Note :For research use only, not for use in diagnostic procedure.
Alternative Name :MAP3K2; MAPKKK2; MEKK2; Mitogen-activated protein kinase kinase kinase 2; MAPK/ERK kinase kinase 2; MEK kinase 2; MEKK 2
Immunogen :A synthesized peptide derived from human MEKK2
Conjugate :Unconjugated
Modification :Unmodified
Western blot analysis of MEKK2 in HeLa lysates using MEKK2 antibody.
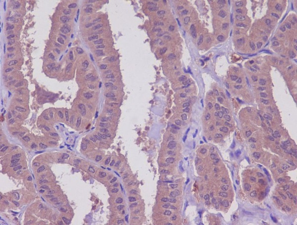
Immunohistochemistry analysis of paraffin-embedded Human thyroid cancer using MEKK2 antibody.High-pressure and temperature Sodium Citrate pH 6.0 was used for antigen retrieval.

关注我们

400-660-9091

电话:025-68037686

地址:江苏生命科技创新园F6幢1层

订购:nanjing03@biogot.com

服务:biorase01@biogot.com

合作:lvyun@biogot.com

支持:may@biogot.com