中国 EN 400-660-9091

联系我们

电话:025-68037686

地址:江苏生命科技创新园F6幢1层

订购:nanjing03@biogot.com

服务:biorase01@biogot.com

合作:lvyun@biogot.com

支持:may@biogot.com

Phospho-STAT1 (Ser727) polyclonal antibody

货号: BZ16677
价格 1350
货期 现货(1-2个工作日)
25ul 50ul 100ul 200ul
No. :BZ16677
Product Name :Phospho-STAT1 (Ser727) polyclonal antibody
Swiss-Prot :P42224
Host :Rabbit
Reactivity :Human,Mouse,Rat
Applications :WB,IHC-P
Application_all :WB: 1/500-1/1000 IHC: 1/50-1/100
Background :The protein encoded by this gene is a member of the STAT protein family. In response to cytokines and growth factors, STAT family members are phosphorylated by the receptor associated kinases, and then form homo- or heterodimers that translocate to the cell nucleus where they act as transcription activators.
Product :Rabbit IgG in phosphate buffered saline , pH 7.4, 150mM NaCl, 0.02% sodium azide and 50% glycerol.
Purification&Purity :Affinity Purified
Storage&Stability :Store at 4°C short term. Aliquot and store at -20°C long term. Avoid freeze-thaw cycles.
Specificity :IgG
BiowMW :Calculated MW: 87 kDa; Observed MW: 87 kDa
Note :For research use only, not for use in diagnostic procedure.
Alternative Name :STAT1; Signal transducer and activator of transcription 1-alpha/beta; Transcription factor ISGF-3 components p91/p84
Immunogen :A synthesized peptide derived from human Phospho-STAT1 (S727)
Conjugate :Unconjugated
Modification :Phosphorylated
Western blot analysis of Phospho-STAT1 in HeLa lysates treated with etoposide using Phospho-STAT1 antibody.
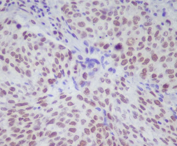
Immunohistochemistry analysis of paraffin-embedded Human lung cancer using Phospho-STAT1 antibody.High-pressure and temperature Sodium Citrate pH 6.0 was used for antigen retrieval.

关注我们

400-660-9091

电话:025-68037686

地址:江苏生命科技创新园F6幢1层

订购:nanjing03@biogot.com

服务:biorase01@biogot.com

合作:lvyun@biogot.com

支持:may@biogot.com