中国 EN 400-660-9091

联系我们

电话:025-68037686

地址:江苏生命科技创新园F6幢1层

订购:nanjing03@biogot.com

服务:biorase01@biogot.com

合作:lvyun@biogot.com

支持:may@biogot.com

RPS20 polyclonal antibody

货号: BZ16674
价格 1140
货期 现货(1-2个工作日)
25ul 50ul 100ul 200ul
No. :BZ16674
Product Name :RPS20 polyclonal antibody
Swiss-Prot :P60866
Host :Rabbit
Reactivity :Human,Mouse,Rat
Applications :WB,IHC-P,ICC/IF
Application_all :WB: 1/500-1/1000 IHC: 1/50-1/100 IF: 1/50-1/200
Background :RPS20 is a a ribosomal protein that is a component of the 40S subunit. Ribosomes, the organelles that catalyze protein synthesis, consist of a small 40S subunit and a large 60S subunit. Together these subunits are composed of 4 RNA species and approximately 80 structurally distinct proteins. RPS20 belongs to the S10P family of ribosomal proteins and is located in the cytoplasm.
Product :Rabbit IgG in phosphate buffered saline , pH 7.4, 150mM NaCl, 0.02% sodium azide and 50% glycerol.
Purification&Purity :Affinity Purified
Storage&Stability :Store at 4°C short term. Aliquot and store at -20°C long term. Avoid freeze-thaw cycles.
Specificity :IgG
BiowMW :Calculated MW: 13 kDa; Observed MW: 13 kDa
Note :For research use only, not for use in diagnostic procedure.
Alternative Name :RPS20; 40S ribosomal protein S20
Immunogen :A synthesized peptide derived from human RPS20
Conjugate :Unconjugated
Modification :Unmodified
Western blot analysis of RPS20 in HeLa lysates using RPS20 antibody.
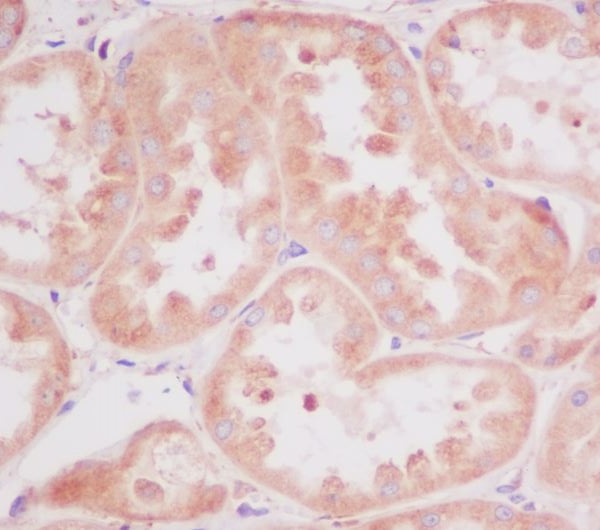
Immunohistochemistry analysis of paraffin-embedded Human kidney using RPS20 antibody.High-pressure and temperature Sodium Citrate pH 6.0 was used for antigen retrieval.

关注我们

400-660-9091

电话:025-68037686

地址:江苏生命科技创新园F6幢1层

订购:nanjing03@biogot.com

服务:biorase01@biogot.com

合作:lvyun@biogot.com

支持:may@biogot.com