中国 EN 400-660-9091

联系我们

电话:025-68037686

地址:江苏生命科技创新园F6幢1层

订购:nanjing03@biogot.com

服务:biorase01@biogot.com

合作:lvyun@biogot.com

支持:may@biogot.com

ATG7 polyclonal antibody

货号: BZ16669
价格 1140
货期 现货(1-2个工作日)
25ul 50ul 100ul 200ul
No. :BZ16669
Product Name :ATG7 polyclonal antibody
Swiss-Prot :O95352
Host :Rabbit
Reactivity :Human
Applications :WB,IHC-P,ICC/IF,IP,FC
Application_all :WB: 1/500-1/1000 IHC: 1/50-1/100 IF: 1/50-1/200 IP: 1/20 FC: 1/50-1/100
Background :The molecular machinery of autophagy was largely discovered in yeast and referred to as autophagy-related (Atg) genes. Formation of the autophagosome involves a ubiquitin-like conjugation system in which Atg12 is covalently bound to Atg5 and targeted to autophagosome vesicles. This conjugation reaction is mediated by the ubiquitin E1-like enzyme Atg7 and the E2-like enzyme Atg10.
Product :Rabbit IgG in phosphate buffered saline , pH 7.4, 150mM NaCl, 0.02% sodium azide and 50% glycerol.
Purification&Purity :Affinity Purified
Storage&Stability :Store at 4°C short term. Aliquot and store at -20°C long term. Avoid freeze-thaw cycles.
Specificity :IgG
BiowMW :Calculated MW: 78 kDa; Observed MW: 78 kDa
Note :For research use only, not for use in diagnostic procedure.
Alternative Name :hAGP7; Ubiquitin-activating enzyme E1-like protein; APG7L
Immunogen :A synthesized peptide derived from human ATG7
Conjugate :Unconjugated
Modification :Unmodified
Western blot analysis of ATG7 in HepG2 lysates using ATG7 antibody.
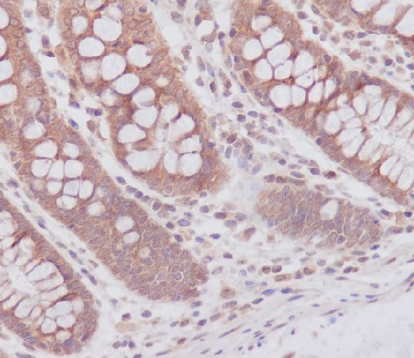
Immunohistochemistry analysis of paraffin-embedded Human colon using ATG7 antibody.High-pressure and temperature Sodium Citrate pH 6.0 was used for antigen retrieval.

关注我们

400-660-9091

电话:025-68037686

地址:江苏生命科技创新园F6幢1层

订购:nanjing03@biogot.com

服务:biorase01@biogot.com

合作:lvyun@biogot.com

支持:may@biogot.com