中国 EN 400-660-9091

联系我们

电话:025-68037686

地址:江苏生命科技创新园F6幢1层

订购:nanjing03@biogot.com

服务:biorase01@biogot.com

合作:lvyun@biogot.com

支持:may@biogot.com

Cortactin polyclonal antibody

货号: BZ16665
价格 1140
货期 现货(1-2个工作日)
25ul 50ul 100ul 200ul
No. :BZ16665
Product Name :Cortactin polyclonal antibody
Swiss-Prot :Q14247
Host :Rabbit
Reactivity :Human,Mouse,Rat
Applications :WB,IHC-P,ICC/IF,IP,FC
Application_all :WB: 1/500-1/1000 IHC: 1/50-1/100 IF: 1/50-1/200 IP: 1/20 FC: 1/50-1/100
Background :Cortactin a cytoskeletal protein that that is involved in coordinating actin reorganization during cell movement. Localizes at the leading edge of lamellipodia during cell migration. Its amino-terminal acidic domain associates with the Arp2/3 and WASP complex at F-actin branches.
Product :Rabbit IgG in phosphate buffered saline , pH 7.4, 150mM NaCl, 0.02% sodium azide and 50% glycerol.
Purification&Purity :Affinity Purified
Storage&Stability :Store at 4°C short term. Aliquot and store at -20°C long term. Avoid freeze-thaw cycles.
Specificity :IgG
BiowMW :Calculated MW: 62 kDa; Observed MW: 80 kDa
Note :For research use only, not for use in diagnostic procedure.
Alternative Name :CTTN; EMS1; Src substrate cortactin; Amplaxin; Oncogene EMS1
Immunogen :A synthesized peptide derived from human Cortactin
Conjugate :Unconjugated
Modification :Unmodified
Western blot analysis of Cortactin in HeLa lysates using Cortactin antibody.
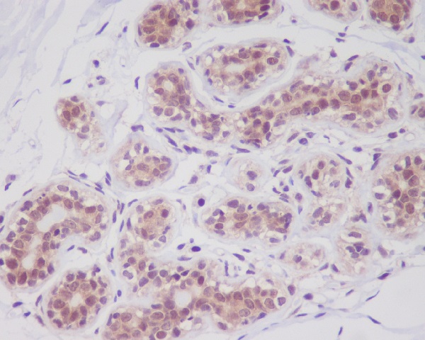
Immunohistochemistry analysis of paraffin-embedded Human breast cancer using Cortactin antibody.High-pressure and temperature Sodium Citrate pH 6.0 was used for antigen retrieval.

关注我们

400-660-9091

电话:025-68037686

地址:江苏生命科技创新园F6幢1层

订购:nanjing03@biogot.com

服务:biorase01@biogot.com

合作:lvyun@biogot.com

支持:may@biogot.com