中国 EN 400-660-9091

联系我们

电话:025-68037686

地址:江苏生命科技创新园F6幢1层

订购:nanjing03@biogot.com

服务:biorase01@biogot.com

合作:lvyun@biogot.com

支持:may@biogot.com

AKT polyclonal antibody

货号: BZ16645
价格 1140
货期 现货(1-2个工作日)
25ul 50ul 100ul 200ul
No. :BZ16645
Product Name :AKT polyclonal antibody
Swiss-Prot :P31749/P31751/Q9Y243
Host :Rabbit
Reactivity :Human,Mouse,Rat
Applications :WB,IHC-P,ICC/IF,IP,FC
Application_all :WB: 1/500-1/1000 IHC: 1/50-1/100 IF: 1/50-1/200 IP: 1/20 FC: 1/50-1/100
Background :Akt, also referred to as PKB or Rac, plays a critical role in controlling survival and apoptosis. This protein kinase is activated by insulin and various growth and survival factors to function in a wortmannin-sensitive pathway involving PI3 kinase. Akt is activated by phospholipid binding and activation loop phosphorylation at Thr308 by PDK1 and by phosphorylation within the carboxy terminus at Ser473.
Product :Rabbit IgG in phosphate buffered saline , pH 7.4, 150mM NaCl, 0.02% sodium azide and 50% glycerol.
Purification&Purity :Affinity Purified
Storage&Stability :Store at 4°C short term. Aliquot and store at -20°C long term. Avoid freeze-thaw cycles.
Specificity :IgG
BiowMW :Calculated MW: 56 kDa; Observed MW: 56 kDa
Note :For research use only, not for use in diagnostic procedure.
Alternative Name :AKT1
Immunogen :A synthesized peptide derived from human AKT1/2/3
Conjugate :Unconjugated
Modification :Unmodified
Western blot analysis of AKT in K562, A549 and Jurkat lysates using AKT antibody.
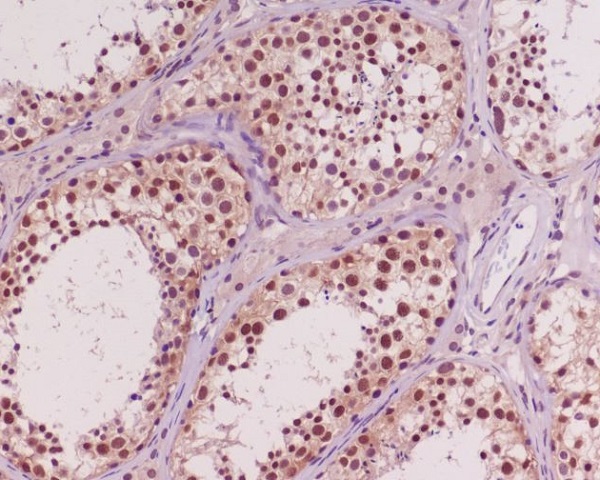
Immunohistochemistry analysis of paraffin-embedded Human testis using AKT antibody.High-pressure and temperature Sodium Citrate pH 6.0 was used for antigen retrieval.
Immunofluorescence analysis of AKT in MCF-7 using AKT antibody.

关注我们

400-660-9091

电话:025-68037686

地址:江苏生命科技创新园F6幢1层

订购:nanjing03@biogot.com

服务:biorase01@biogot.com

合作:lvyun@biogot.com

支持:may@biogot.com